Management of malignant pleural mesothelioma - part 1: epidemiology, diagnosis, and staging : Consensus of the Austrian Mesothelioma Interest Group (AMIG)
- PMID: 27619223
- PMCID: PMC5033998
- DOI: 10.1007/s00508-016-1080-z
Management of malignant pleural mesothelioma - part 1: epidemiology, diagnosis, and staging : Consensus of the Austrian Mesothelioma Interest Group (AMIG)
Abstract
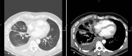
Malignant pleural mesothelioma is a rare malignant disease that in the majority of cases is associated with asbestos exposure. The incidence in Europe is about 20 per million inhabitants and it is increasing worldwide. Initial symptoms are shortness of breath, pleural effusion, cough, and chest pain. The typical growth pattern is along the pleural surface; however, infiltration of the lung and/or mediastinal and chest wall structures can occur in a more advanced stage. Ultimately, distant metastases outside the chest can result. Several histological subtypes of pleural mesothelioma exist, which must be differentiated from either benign diseases or metastases in the pleural space by other tumor entities. This differential diagnosis can be very difficult and a large panel of immunohistochemical markers is required to establish the exact diagnosis. The standard procedure for confirming the disease and obtaining sufficient tissue for the diagnosis is videothoracoscopy. Full thickness biopsies are required, while transthoracic needle puncture of pleural fluid or tissue is considered to be insufficient for a cytological diagnosis. Complete and detailed staging is mandatory for categorization of the disease as well as for therapeutic decision making.
Keywords: Diagnosis; Epidemiology; Malignant pleural mesothelioma; Pathology; Staging.
Conflict of interest statement
Conflict of interestC. Geltner, P. Errhalt, B. Baumgartner, G. Ambrosch, B. Machan, J. Eckmayr, T. Klikovits, M.A. Hoda, H. Popper, and W. Klepetko declare that they have no competing interests.
Figures






References
-
- Offermans NS, Vermeulen R, Burdorf A, Goldbohm RA, Kauppinen T, Kromhout H, et al. Occupational asbestos exposure and risk of pleural mesothelioma, lung cancer, and laryngeal cancer in the prospective Netherlands cohort study. J Occup Environ Med. 2014;56:6–19. doi: 10.1097/JOM.0000000000000060. - DOI - PubMed
-
- Delfino RJ, Anton-Culver H, Saltzstein SL. Gender-related differences in the distribution of thoracic versus abdominal malignant mesothelioma. Cancer Detect Prev. 1995;19:301–307. - PubMed
MeSH terms
LinkOut - more resources
Full Text Sources
Other Literature Sources
Medical