Sublingual dermoid causing stertor in an infant
- PMID: 27637278
- PMCID: PMC5030563
- DOI: 10.1136/bcr-2016-217135
Sublingual dermoid causing stertor in an infant
Abstract
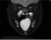
Sublingual dermoids are uncommon lesions in the floor of mouth. The most common age of presentation is early adulthood, but presentation in infancy has also been reported. This report highlights the clinical presentation and treatment challenges in infants. An 8-month-old infant presented with inability to close mouth, intermittent stertor and snoring. MRI suggested a sublingual dermoid which was confirmed on histopathology of the surgically enucleated specimen. Sublingual dermoids are uncommon lesions of the floor of mouth. The age of presentation of a sublingual dermoid depends on the initial size of the lesion. Large sublingual dermoids in neonates can present with respiratory embarrassment and need early surgical intervention. Surgical enucleation via an intraoral approach is the treatment of choice with external approach reserved for very large cysts below the mylohyoid. Large sublingual cysts can present with anaesthetic challenges and may need fibreoptic intubation.
2016 BMJ Publishing Group Ltd.
Figures



References
Publication types
MeSH terms
LinkOut - more resources
Full Text Sources
Other Literature Sources
Medical