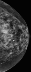
Paraneoplastic polymyositis presenting as a clinically occult breast cancer
- PMID: 27659377
- PMCID: PMC5392829
- DOI: 10.1308/rcsann.2016.0301
Paraneoplastic polymyositis presenting as a clinically occult breast cancer
Abstract
Paraneoplastic syndrome affects less than 1% of cancer patients. Diagnosis of paraneoplastic syndrome with neurological presentation requires screening for an underlying malignancy, including a complete history, physical examination and imaging studies. Treatment often results in symptom stability, rather than improvement. Paraneoplastic polymyositis can precede or instantaneously occur at diagnosis or treatment of a primary tumour, while neurological symptoms can persist even following cancer treatment. We report a rare case of metaplastic breast carcinoma with an unusual presentation of paraneoplastic polymyositis.
Keywords: Breast cancer; Diagnosis; Metaplastic carcinoma; Neurology; Paraneoplastic syndrome.
Figures
References
-
- Croce S, Guèye M, Korganow AC et al. . Paraneoplastic polymyositis associated with breast cancer: a therapeutic emergency. Breast Cancer Res Treat 2011; : 811–814. - PubMed
-
- Buchbinder R, Forbes A, Hall S et al. . Incidence of malignant disease in biopsy-proven inflammatory myopathy. A population-based cohort study. Ann Intern Med 2001; : 1,087–1,095. - PubMed
-
- Stertz G. Polymyositis. Berl Klin Wochenschr 1916; : 489.
Publication types
MeSH terms
LinkOut - more resources
Full Text Sources
Other Literature Sources
Medical
