Metastatic Cardiac Angiosarcoma in a 26-Year-Old Male
- PMID: 27660586
- PMCID: PMC5024819
Metastatic Cardiac Angiosarcoma in a 26-Year-Old Male
Abstract
Background: Cardiac angiosarcomas are an extremely rare tumor with an incidence of only 0.056%. Diagnosing this rare tumor becomes even more difficult as the presentation of cardiac angiosarcomas varies based on anatomic location. Depending on the tumor's proximity to valves, symptoms may be more consistent with heart failure, while growth throughout the conduction system may produce arrhythmias.
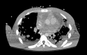
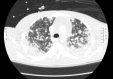
Case report: We present the case of a young male with a significant tumor burden of cardiac angiosarcoma in his lungs whose symptoms included pleuritic chest pain and hemoptysis. This patient did not have the classic finding of right-sided heart failure; instead, his presenting complaint was hemoptysis.
Conclusion: The diagnostician's differential diagnosis must be broad when encountering common chief complaints, such as hemoptysis and chest pain.
Keywords: Angiosarcoma; coronary arteries; heart failure; heart neoplasm; hemoptysis.
Figures



References
-
- Lam KY, Dickens P, Chan AC. Tumors of the heart. A 20 year experience with a review of 12,485 consecutive autopsies. Arch Pathol Lab Med. 1993. October; 117 10: 1027- 1031. - PubMed
-
- Hamidi M, Moody JS, Weigel TL, Kozak KR. Primary cardiac sarcoma. Ann Thorac Surg. 2010. July; 90 1: 176- 181. doi: 10.1016/j.athoracsur.2010.03.065. - DOI - PMC - PubMed
-
- Vander Salm TJ. Unusual primary tumors of the heart. Semin Thorac Cardiovasc Surg. 2000. April; 12 2: 89- 100. - PubMed
-
- Janigan DT, Husain A, Robinson NA. Cardiac angiosarcomas. A review and case report. Cancer. 1986. February 15; 57 4: 852- 859. - PubMed
-
- Odim J, Reehal V, Laks H, Mehta U, Fishbein MC. Surgical pathology of cardiac tumors. Two decades at an urban institution. Cardiovasc Pathol. 2003. Sep-Oct; 12 5: 267- 270. - PubMed
Publication types
LinkOut - more resources
Full Text Sources