The use of intraoperative computed tomography navigation in pituitary surgery promises a better intraoperative orientation in special cases
- PMID: 27695249
- PMCID: PMC5006481
- DOI: 10.4103/0976-3147.186977
The use of intraoperative computed tomography navigation in pituitary surgery promises a better intraoperative orientation in special cases
Abstract
Objective: The safety of endoscopic skull base surgery can be enhanced by accurate navigation in preoperative computed tomography (CT) and magnetic resonance imaging (MRI). Here, we report our initial experience of real-time intraoperative CT-guided navigation surgery for pituitary tumors in childhood.
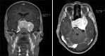
Materials and methods: We report the case of a 15-year-old girl with a huge growth hormone-secreting pituitary adenoma with supra- and perisellar extension. Furthermore, the skull base was infiltrated. In this case, we performed an endonasal transsphenoidal approach for debulking the adenoma and for chiasma decompression. We used an MRI neuronavigation (Medtronic Stealth Air System) which was registered via intraoperative CT scan (Siemens CT Somatom). Preexisting MRI studies (navigation protocol) were fused with the intraoperative CT scans to enable three-dimensional navigation based on MR and CT imaging data. Intraoperatively, we did a further CT scan for resection control.
Results: The intraoperative accuracy of the neuronavigation was excellent. There was an adjustment of <1 mm. The navigation was very helpful for orientation on the destroyed skull base in the sphenoid sinus. After opening the sellar region and tumor debulking, we did a CT scan for resection control because the extent of resection was not credible evaluable in this huge infiltrating adenoma. Thereby, we were able to demonstrate a sufficient decompression of the chiasma and complete resection of the medial part of the adenoma in the intraoperative CT images.
Conclusions: The use of intraoperative CT/MRI-guided neuronavigation for transsphenoidal surgery is a time-effective, safe, and technically beneficial technique for special cases.
Keywords: Endoscopic endonasal surgery; intraoperative computed tomography; merged computed tomography-magnetic resonance neuronavigation; pituitary surgery.
Figures



References
-
- Barnett GH, Kormos DW, Steiner CP, Weisenberger J. Intraoperative localization using an armless, frameless stereotactic wand. Technical note. J Neurosurg. 1993;78:510–4. - PubMed
-
- Golfinos JG, Fitzpatrick BC, Smith LR, Spetzler RF. Clinical use of a frameless stereotactic arm: Results of 325 cases. J Neurosurg. 1995;83:197–205. - PubMed
-
- Kato A, Yoshimine T, Hayakawa T, Tomita Y, Ikeda T, Mitomo M, et al. A frameless, armless navigational system for computer-assisted neurosurgery. Technical note. J Neurosurg. 1991;74:845–9. - PubMed
-
- Koivukangas J, Louhisalmi Y, Alakuijala J, Oikarinen J. Ultrasound-controlled neuronavigator-guided brain surgery. J Neurosurg. 1993;79:36–42. - PubMed
-
- Nabavi A, Manthei G, Blömer U, Kumpf L, Klinge H, Mehdorn HM. Neuronavigation. Computer-assisted surgery in neurosurgery. Radiologe. 1995;35:573–7. - PubMed
LinkOut - more resources
Full Text Sources
Other Literature Sources