Unusual Complication of Pituitary Macroadenoma: A Case Report and Review
- PMID: 27708253
- PMCID: PMC5056672
- DOI: 10.12659/ajcr.900647
Unusual Complication of Pituitary Macroadenoma: A Case Report and Review
Abstract
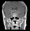
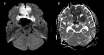
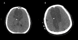
BACKGROUND Pituitary macroadenoma is a common benign tumor that usually presents with visual field defects or hormonal abnormalities. Cerebral infarction can be a complication of a large pituitary adenoma. We report a rare case of bilateral anterior cerebral arteries infarcts by a large pituitary macroadenoma with apoplexy. CASE REPORT A 48-year-old male patient presented with altered conscious level and sudden loss of vision for one-day duration. Magnetic resonance imaging of the brain showed a large seller and suprasellar hemorrhagic mass of pituitary origin, with associated bilateral areas of diffusion restriction in the frontal parasagittal regions, consistent with infarctions. Magnetic resonance angiography showed elevation and compression of A1 segment of both anterior cerebral arteries by the hemorrhagic pituitary macroadenoma. The patient underwent trans-sphenoidal resection of the pituitary adenoma, but unfortunately, ischemia was irreversible. Computed tomography (CT) done post-operatively showed hypodensity in the frontal and parietal parasagittal areas, which was also persistent in the follow up CT scans. The patient's neurological function remained poor, with GCS of 8/15, in vegetative state. CONCLUSIONS Vascular complications of the pituitary apoplexy, although uncommon, can be very severe and life threatening. Early detection of vascular compromise caused by hemorrhagic pituitary macroadenoma can prevent delay in intervention. Clinicians should also consider pituitary adenoma as a possible cause of stroke.
Conflict of interest statement
Conflicts of Interest: None declared
Figures







References
-
- Banerjee C, Snelling B, Hanft S, et al. Bilateral cerebral infarction in the setting of pituitary apoplexy: a case presentation and literature review. Pituitary. 2015;18:352–58. - PubMed
-
- CBTRUS . Source: Central Brain TumorRegistry of the United States. Hinsdale, IL: 2010. CBTRUS Statistical Report: Primary Brain and Central Nervous System Tumors Diagnosed in the United States in 2004–2006.
-
- Fernandez A, Karavitaki N, Wass JAH. Prevalence of pituitary adenomas: A community-based, cross-sectional study in Banbury (Oxfordshire, UK) Clin Endocrinol (Oxf) 2010;72:377–82. - PubMed
-
- Asa SL, Ezzat S. The pathogenesis of pituitary tumours. Nat Rev Cancer. 2002;2:836–49. - PubMed
Publication types
MeSH terms
LinkOut - more resources
Full Text Sources
Medical