A case of recurrent severe pre-eclampsia associated with essential cryofibrinogenaemia
- PMID: 27708708
- PMCID: PMC5032929
- DOI: 10.1258/om.2012.120005
A case of recurrent severe pre-eclampsia associated with essential cryofibrinogenaemia
Abstract
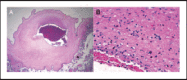
Essential cryofibrinogenaemia is a rare disorder characterized by cryofibrinogens without cryoglobulins. Connective tissue disorders and thrombophilia are known to increase risk of pre-eclampsia, but pre-eclampsia has not previously been reported in association with cryofibrinogenaemia. We report the case of a 32-year-old woman with recurrent severe pre-eclampsia diagnosed with essential cryofibrinogenaemia.
Keywords: Severe pre-eclampsia; cryofibrinogenaemia; eosinophilic/T-cell vasculitis.
Figures


References
-
- Amdo TD, and Welker JA. An approach to the diagnosis and treatment of cryofibrinogenemia. Am J Med 2004; 116: 332–337. - PubMed
-
- Saadoun D, Elalamy I, Ghillani-Dalbin P, Sene D, Delluc A, and Cacoub P. Cryofibrinogenemia: new insights into clinical and pathogenic features. Am J Med 2009; 122: 1128–1135. - PubMed
-
- Chandra RK, Malkani PK, and Bhasin K. Serum levels of alpha 2 macroglobulin and IgG and cryofibrinogenemia in pregnancy. Obstet Gynaecol 1973; 41: 56–59. - PubMed
-
- Pindyck J, Lichtman HC, and Kohl SG. Cryofibrinogenaemia in women using oral contraceptives. Lancet 1970; 1: 51–53. - PubMed
LinkOut - more resources
Full Text Sources
Other Literature Sources