Lymphoepithelial Cyst in the Palatine Tonsil
- PMID: 27722002
- PMCID: PMC5046002
- DOI: 10.1155/2016/6296840
Lymphoepithelial Cyst in the Palatine Tonsil
Abstract
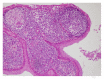
Lymphoepithelial cyst (LEC) is the most commonly encountered congenital neck pathology in the lateral part of the neck. A 66-year-old woman presented to the ENT clinic due to difficulty in swallowing persisting for approximately 1 year. Magnetic resonance imaging revealed a cystic mass at right tonsil. Surgery was performed due to this unilateral tonsillar mass, which was excised together with the right tonsil. LEC was diagnosed at histopathological examination. LEC in the palatine tonsil is rare, and only a few cases have been reported in the literature. We report a rare case of LEC in the palatine tonsil.
Conflict of interest statement
The authors declare that they have no competing interests.
Figures


References
LinkOut - more resources
Full Text Sources
Other Literature Sources
Research Materials
Miscellaneous