Eosinophilic esophagitis in an octogenarian: A case report and review of the literature
- PMID: 27741150
- PMCID: PMC5072977
- DOI: 10.1097/MD.0000000000005169
Eosinophilic esophagitis in an octogenarian: A case report and review of the literature
Abstract
Introduction: Eosinophilic esophagitis (EoE) is a chronic, immune/antigen-mediated disease characterized clinically by symptoms related to esophageal dysfunction and histologically by a marked eosinophilic infiltrate in the esophageal mucosa. What was once considered a rare disease has nowadays become one of the most frequent esophageal diseases in the Western countries, occupying a place just next to the gastroesophageal reflux disease. EoE etiology and pathogenesis remain largely unknown, although most studies consider that allergic and genetic factors play the most important role.
Methods: We report the case of EoE in an elderly male (octogenarian), giving a brief review of the current data related to epidemiology, pathogenesis, diagnosis, and treatment of the disease.
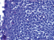
Results: Dysphagia to solid foods was the leading symptom, and endoscopic findings included white exudates, longitudinal furrows, and concentric mucosal rings, all suggestive for EoE. Diagnosis relied on histological findings in esophageal mucosal biopsies (>30 eosinophils per high power field).He was treated with topical steroids for 8 weeks, symptoms improved gradually and the patient remained in remission at the 8-month follow-up.
Conclusion: This case emphasizes that EoE may occur in very old patients and gastroenterologists should have a high index of suspicion of this disorder in any elderly with dysphagia and endoscopic relevant features.
Conflict of interest statement
The authors have no conflicts of interest to disclose.
Figures



References
-
- Liacouras CA, Furuta GT, Hirano I, et al. Eosinophilic esophagitis: updated consensus recommendations for children and adults. J Allergy Clin Immunol 2011; 128:3–20. - PubMed
-
- Landres RT, Kuster GG, Strum WB. Eosinophilic esophagitis in a patient with vigorous achalasia. Gastroenterology 1978; 74:1298–1301. - PubMed
-
- Picus D, Frank PH. Eosinophilic esophagitis. Am J Roentgenol 1981; 136:1001–1003. - PubMed
-
- Attwood SE, Smyrk TC, Demeester TR, et al. Esophageal eosinophilia with dysphagia. A distinct clinicopathologic syndrome. Dig Dis Sci 1993; 38:109–116. - PubMed
-
- Syed AA, Andrews CN, Shaffer E, et al. The rising incidence of eosinophilic oesophagitis is associated with increasing biopsy rates: a population-based study. Aliment Pharmacol Ther 2012; 36:950–958. - PubMed
Publication types
MeSH terms
Substances
LinkOut - more resources
Full Text Sources
Other Literature Sources
Medical