Varicella Reinfection with Unilateral Varicella Pneumonia
- PMID: 27803408
- PMCID: PMC5140863
- DOI: 10.2169/internalmedicine.55.7136
Varicella Reinfection with Unilateral Varicella Pneumonia
Abstract
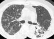
Varicella zoster virus (VZV) infection does not always provide lifelong immunity. A reinfection with VZV occurs more commonly than previously thought. Varicella infection spreads through the blood-stream, causing pneumonia. Varicella pneumonia results in bilateral pulmonary nodular infiltrations. We herein report a case of varicella reinfection with unilateral varicella pneumonia in which a reduced pulmonary blood flow due to radiation damage was considered to be the cause of unilateral pneumonia. In patients with an asymmetric pulmonary blood flow, careful interpretation of unilateral infiltration is therefore considered to be important with making a differential diagnosis.
Figures
References
-
- Hall S, Maupin T, Seward J, et al. Second varicella infections: are they more common than previously thought? Pediatrics 109: 1068-1073, 2002. - PubMed
-
- Mohsen AH, McKendrick M. Varicella pneumonia in adults. Eur Respir J 21: 886-891, 2003. - PubMed
-
- Kim JS, Ryu CW, Lee SI, Sung DW, Park CK. High-resolution CT findings of varicella-zoster pneumonia. AJR Am J Roentgenol 172: 113-116, 1999. - PubMed
-
- Yamashita H, Ueda Y, Takahashi Y, Akio M. A case of adult-onset varicella pneumonia and varicella-zoster virus (VZV) meningitis resulting from a reoccurrence of varicella. Kansenshogaku Zasshi (Journal of the Japanese Association for Infectious Disense) 86: 306-309, 2012. (in Japanese, Abstract in English). - PubMed
Publication types
MeSH terms
LinkOut - more resources
Full Text Sources
Other Literature Sources
Medical
