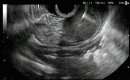
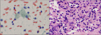
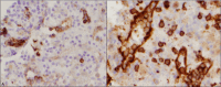
Rare Subepithelial Mass Diagnosed as Gastric Splenosis via EUS-FNA
- PMID: 27807563
- PMCID: PMC5062653
- DOI: 10.14309/crj.2016.74
Rare Subepithelial Mass Diagnosed as Gastric Splenosis via EUS-FNA
Figures




References
-
- Tatsas AD, Owens CL, Siddiqui MT, et al. . Fine-needle aspiration of intrapancreatic accessory spleen: Cytomorphologic features and differential diagnosis. Cancer Cytopathol. 2012; 120(4):261–8. - PubMed
-
- Deutsch JC, Sandhu IS, Lawrence SP. Splenosis presenting as an ulcerated gastric mass: Endoscopic and endoscopic ultrasonographic imaging. J Clin Gastroenterol. 1999; 28(3):266–7. - PubMed
-
- Yang JB, Liu DL. Gastric fundus splenosis mimicking stromal tumor. Rev Esp Enferm Dig. 2015; 107(6):392–3. - PubMed
-
- Yang K, Chen XZ, Liu J, et al. . Splenosis in gastric wall mimicking gastrointestinal stromal tumor. Endoscopy. 2013; 45(suppl 2:E82–3. - PubMed
-
- Fremont RD, Rice TW. Splenosis: A review. South Med J. 2007; 100(6):589–93. - PubMed
Publication types
LinkOut - more resources
Full Text Sources
Other Literature Sources