Management of Psoriasis Herpeticum in Pregnancy: A Clinical Conundrum
- PMID: 27840756
- PMCID: PMC5093277
- DOI: 10.1155/2016/5319425
Management of Psoriasis Herpeticum in Pregnancy: A Clinical Conundrum
Abstract
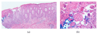
Introduction. Kaposi varicelliform eruption (KVE) is a widespread cutaneous viral infection, most commonly herpes simplex virus, which affects patients with underlying dermatosis. When KVE occurs in a patient with a history of psoriasis, it is referred to as psoriasis herpeticum, a rare subtype of KVE with only a handful of cases reported in the literature. To the authors' knowledge, we report for the first time a case of psoriasis herpeticum in pregnancy. Case Presentation. A 23-year-old woman in her third pregnancy presented at 26-week gestation with a 10-year history of psoriasis. Cutaneous examination revealed diffuse psoriatic plaques with scattered ~1 cm erosions. Punch biopsy of the skin revealed herpes simplex virus (HSV) infection within a psoriatic plaque, necessitating dermatological treatment. The patient experienced premature rupture of membranes at 37-week gestation. Pelvic exam showed no evidence of herpetic lesions. After labor augmentation, the patient delivered a healthy female infant with no evidence of HSV infection. Discussion. Psoriasis herpeticum is a rare and potentially devastating complication of an underlying dermatosis. With a paucity of data available to guide pregnancy-specific issues, the general management of this condition is controversial and requires a multidisciplinary care approach. Concerns for systemic infection in the mother and vertical transmission to the neonate are of critical importance.
Figures
References
LinkOut - more resources
Full Text Sources
Other Literature Sources
