Evaluation of Head and Neck Paragangliomas by Computed Tomography in Patients with Pheochromocytoma-Paraganglioma Syndromes
- PMID: 27867439
- PMCID: PMC5102251
- DOI: 10.12659/PJR.897490
Evaluation of Head and Neck Paragangliomas by Computed Tomography in Patients with Pheochromocytoma-Paraganglioma Syndromes
Abstract
Background: Hereditary head and neck paragangliomas (HNP) are very often associated with pheochromocytoma-paraganglioma syndromes, which are caused by mutations in genes encoding subunits of succinate dehydrogenase (SDHx) complex. The aim of this study was to determine the frequency and location of HNP among SDHx carriers.
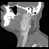
Material/methods: A total of 72 patients with SDHx mutations underwent computed tomography examinations of the head and neck. HNP were present in 44 (61.1%) out of 72 patients (31 SDHD, 11 SDHB, 2 SDHC); 113 HNP were found; the most common were carotid paragangliomas (59) and vagal paragangliomas (27).
Results: The HNP were statistically more frequent in carriers of SDHD mutations compared to carriers of SDHB mutations (72.1% vs. 43.5%, p=0.033). Multiple tumors more often occurred in patients with SDHD mutations 26/31 (83.9%) than in patients with SDHB mutations 6/11 (54.5%) p=0.05. There was a significant difference in the prevalence of carotid paragangliomas between patients with SDHB and SDHD mutations (7/11 [63.6%] vs. 30/31 [96.8%], respectively, p=0.004). Patients with SDHD mutations more often had carotid paragangliomas located on the left side than on the right side, as compared to SDHB mutations 25/31 (80.6%) vs. 4/11 (36.4%), p=0.006.
Conclusions: SDHx mutations predispose to multifocal and bilateral HNP. Carotid and vagal paragangliomas occurred most often. Patients with SDHD mutations are characterized by higher frequency of HNP than patients with SDHB mutations, which is mainly driven by higher frequency of carotid body tumors in patients with SDHD mutations. No difference in the frequency of head and neck paragangliomas in other locations was found.
Keywords: Carotid Body Tumor; Head and Neck Neoplasms; Paraganglioma, Extra-Adrenal; Succinate Dehydrogenase.
Conflict of interest statement
The authors declare that they have no conflict of interest.
Figures




References
-
- Boedeker CC, Hensen EF, Neumann HP, et al. Genetics of hereditary head and neck paragangliomas. Head Neck. 2014;36(6):907–16. - PubMed
-
- Gimenez-Roqueplo AP, Caumont-Prim A, Houzard C, et al. Imaging work-up for screening of paraganglioma and pheochromocytoma in SDHx mutation carriers: A multicenter prospective study from the PGL.EVA Investigators. J Clin Endocrinol Metab. 2013;98:E162–73. - PubMed
-
- Kunst HPM, Rutten MH, de Monnink JP, et al. SDHAF2 (PGL2-SDH5) and hereditary head and neck paraganglioma. Clin Cancer Res. 2002;17(2):247–54. - PubMed
LinkOut - more resources
Full Text Sources
Other Literature Sources