Duodenitis-Proximal Jejunitis in Horses After Experimental Administration of Clostridium difficile Toxins
- PMID: 27906466
- PMCID: PMC5259639
- DOI: 10.1111/jvim.14624
Duodenitis-Proximal Jejunitis in Horses After Experimental Administration of Clostridium difficile Toxins
Abstract
Background: Duodenitis-proximal jejunitis (DPJ) is an acute sporadic gastrointestinal disorder of horses of unknown cause.
Hypothesis/objectives: We hypothesize that Clostridium difficile toxins are involved in the pathogenesis of DPJ in horses. The objective of this study was to determine whether experimentally delivered C. difficile toxins cause clinical signs and histologic lesions similar to those of naturally occurring DPJ.
Animals: Six healthy mature mixed breed horses.
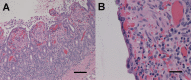
Methods: Experimental study: animal model of animal disease. Fasted horses were administered crude C. difficile toxins via gastroscopy and monitored for up to 48 hour. Blood was collected for complete blood cell count, biochemistry profile, and plasma fibrinogen assay, and abdominal fluid was collected for cytologic analysis and total solids before and after toxin administration. Physical examination and abdominal ultrasonography were performed throughout the study period. Tissues were collected from the gastrointestinal tract and processed for routine histologic analysis, and lesions were scored.
Results: Clinical signs were observed in 2 of 6 horses that are typical although not specific for horses with naturally occurring DPJ. Histopathologic lesions were observed in 6 of 6 horses and were similar to those reported in horses with naturally occurring DPJ. Two horses were severely affected.
Conclusions and clinical importance: Duodenitis-proximal jejunitis is likely a syndrome with multiple causes that result in the same clinical and pathologic findings, and our data suggest that the toxins of C. difficile represent one cause of this syndrome. Toxin dose and variation in individual animal susceptibility might affect the clinical signs and lesions after administration of C. difficile toxins.
Keywords: Enteritis; Exotoxins; Gastrointestinal.
Copyright © 2016 The Authors. Journal of Veterinary Internal Medicine published by Wiley Periodicals, Inc. on behalf of the American College of Veterinary Internal Medicine.
Figures
References
-
- Blackwell RB, White NA. Duodenitis/proximal jejunitis in the horse Proceedings of the Equine Colic Research Symposium, Vol. 1. Athens, GA: College of Veterinary Medicine, University of Georgia; 1982.
-
- Freeman DE. Duodenitis‐proximal jejunitis. Equine Vet Educ 2000;12:322–332.
-
- Cohen ND, Parson EM, Seahorn TL, Carter GK. Prevalence and factors associated with development of laminitis in horses with duodenitis/proximal jejunitis: 33 cases (1985–1991). J Am Vet Med Assoc 1994;204:250–254. - PubMed
-
- Cornick JL, Seahorn TL. Cardiac arrhythmias identified in horses with duodenitis/proximal jejunitis: Six cases (1985–1988). J Am Vet Med Assoc 1990;197:1054–1059. - PubMed
-
- Davis JL, Blikslager AT, Catto K, Jones SL. A retrospective analysis of hepatic injury in horses with proximal enteritis (1984–2002). J Vet Intern Med 2003;17:896–901. - PubMed
MeSH terms
LinkOut - more resources
Full Text Sources
Other Literature Sources
Medical
