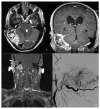
Intracranial Complications From Temporal Bone Cystic Angiomatosis
- PMID: 27918367
- PMCID: PMC5388440
- DOI: 10.1097/MAO.0000000000001294
Intracranial Complications From Temporal Bone Cystic Angiomatosis
Figures


References
-
- Cystic Angiomatosis of bone: A report of three cases and review of the literature. J Bone Joint Surg Br. 1972;54:626–636. - PubMed
-
- Levey DS, MacCormack LM, Sartoris DJ, Haghighi P, Resnick D, Thorne R. Cystic angiomatosis: case report and review of the literature. Skeletal Radiol. 1996 Apr;25(3):287–93. Review. - PubMed
Grants and funding
LinkOut - more resources
Full Text Sources
Other Literature Sources