Hamartomas from head to toe: an imaging overview
- PMID: 27936889
- PMCID: PMC5601532
- DOI: 10.1259/bjr.20160607
Hamartomas from head to toe: an imaging overview
Abstract
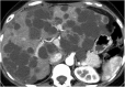
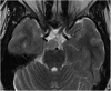
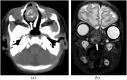
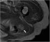
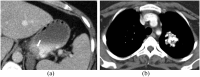
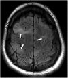
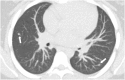
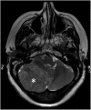
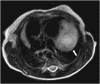
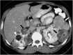
Hamartomas are tumours composed of mesenchymal tissues such as cartilage, fat, connective tissue and smooth muscle and can be found in virtually any organ system. These masses commonly develop sporadically, but are also seen in certain syndromes such as tuberous sclerosis or Carney triad. While their imaging appearance varies depending on the organ they arise from, findings are usually unique and a diagnosis can be confidently made. Radiologists must be aware of the clinical and imaging presentations of these lesions with the particular goal of avoiding unnecessary studies or invasive procedures. Furthermore, knowledge of common syndromic entities is crucial, as the radiologist may be the first to suggest the diagnosis.
Figures
References
-
- Albrecht E. Über hamartome. Verh Dtsch Ges Pathol 1904; 7: 153–7.
-
- Maitra A. Robbins and Cotran pathologic basis of disease. 9th edn. Amsterdam, Netherlands: Elsevier; 2015.
-
- Saleem SN, Said AH, Lee DH. Lesions of the hypothalamus: MR imaging diagnostic features. Radiographics 2007; 27: 1087–108. doi: https://doi.org/10.1148/rg.274065123 - DOI - PubMed
-
- Glastonbury CM, Osborn AG, Salzman KL. Masses and malformations of the third ventricle: normal anatomic relationships and differential diagnoses. Radiographics 2011; 31: 1889–905. doi: https://doi.org/10.1148/rg.317115083 - DOI - PubMed
Publication types
MeSH terms
LinkOut - more resources
Full Text Sources
Other Literature Sources
Medical
