Skip to main page content
U.S. flag

An official website of the United States government

Dot gov

The .gov means it’s official.
Federal government websites often end in .gov or .mil. Before sharing sensitive information, make sure you’re on a federal government site.

Https

The site is secure.
The https:// ensures that you are connecting to the official website and that any information you provide is encrypted and transmitted securely.

Access keys NCBI Homepage MyNCBI Homepage Main Content Main Navigation
Review
. 2016 Jul-Aug;37(4):167-170.
doi: 10.11138/gchir/2016.37.4.167.

Chyloperitoneum associated with idiopathic pancreatitis: case report and review of the literature

Review

Chyloperitoneum associated with idiopathic pancreatitis: case report and review of the literature

G D'Amata et al. G Chir. 2016 Jul-Aug.

Abstract

Acute chylous peritonitis is defined as the onset of acute abdomen findings due to abrupt chylous fluid accumulation in the peritoneal space. A correct diagnosis of this condition is seldom made preoperatively. The optimal management of true chylous pancreatitis depends upon the underlying etiology. Thorough lavage of the abdomen and adequate drainage has proven to be an excellent treatment modality for acute chylous peritonitis, since resolution of chylous ascites usually occurs within the next few days. However, conservative treatment may be appropriate in selected cases. We present a case report and a brief review of the literature.

PubMed Disclaimer

Figures

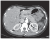
Figure 1
Figure 1
Postoperative abdominal computed tomography image showing moderate oedema of the head of the pancreas and a small fluid collection near the tail of the pancreas.

References

    1. Vettoretto N, Odeh M, Romessis M, Pettinato G, Taglietti LM, Giovanetti M. Acute abdomen from chylous peritonitis: a surgical diagnosis case report and literature review. European surgical research. 2008;41:54–7. - PubMed
    1. Mishin I, Ghildirim G, Vozian M. Acute spontaneous chylous peritonitis: report of a case. Journal of gastrointestinal and liver diseases. 2010;3:333–5. - PubMed
    1. Krizek TJ, Davis JH. Acute chylous peritonitis. Arch Surg. 1965;91:253–262.
    1. Man DW, Spitz L. The management of chylous ascites in children. J Pediatr Surg. 1985;20:72–5. - PubMed
    1. Aalami OO, Allen DB, Organ CH., Jr Chylous ascites: a collective review. Surgery. 2000;128:761–78. - PubMed