Combined surgical and immunosupressive therapy for encapsulating peritoneal sclerosis
- PMID: 27942181
- PMCID: PMC5131388
- DOI: 10.4103/0971-4065.177139
Combined surgical and immunosupressive therapy for encapsulating peritoneal sclerosis
Abstract
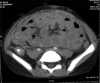
Encapsulating peritoneal sclerosis (EPS) is an infrequent but serious complication of long-term peritoneal dialysis with 50% mortality and lack consensus on treatment. The pathogenesis of EPS is ill understood, and diagnosis lacks specificity and relies on clinical, radiographic and microscopic evaluation. Since there is no general agreement on managing EPS, we report a case treated successfully with surgery followed by immunosuppressive therapy with tamoxifen and steroids. He later successfully underwent deceased donor renal transplantation.
Keywords: Encapsulating peritoneal sclerosis; peritoneal dialysis; treatment.
Conflict of interest statement
There are no conflicts of interest.
Figures


References
-
- Johnson DW, Cho Y, Livingston BE, Hawley CM, McDonald SP, Brown FG, et al. Encapsulating peritoneal sclerosis: Incidence, predictors, and outcomes. Kidney Int. 2010;77:904–12. - PubMed
-
- Plum J, Hermann S, Fusshöller A, Schoenicke G, Donner A, Röhrborn A, et al. Peritoneal sclerosis in peritoneal dialysis patients related to dialysis settings and peritoneal transport properties. Kidney Int Suppl. 2001;78:S42–7. - PubMed
-
- Yamamoto R, Otsuka Y, Nakayama M, Maruyama Y, Katoh N, Ikeda M, et al. Risk factors for encapsulating peritoneal sclerosis in patients who have experienced peritoneal dialysis treatment. Clin Exp Nephrol. 2005;9:148–52. - PubMed
-
- Hendriks PM, Ho-dac-Pannekeet MM, van Gulik TM, Struijk DG, Phoa SS, Sie L, et al. Peritoneal sclerosis in chronic peritoneal dialysis patients: Analysis of clinical presentation, risk factors, and peritoneal transport kinetics. Perit Dial Int. 1997;17:136–43. - PubMed
-
- Fieren MW, Betjes MG, Korte MR, Boer WH. Posttransplant encapsulating peritoneal sclerosis: A worrying new trend? Perit Dial Int. 2007;27:619–24. - PubMed
Publication types
LinkOut - more resources
Full Text Sources
Other Literature Sources