SD-OCT and Adaptive Optics Imaging of Outer Retinal Tubulation
- PMID: 27984506
- PMCID: PMC5321857
- DOI: 10.1097/OPX.0000000000001031
SD-OCT and Adaptive Optics Imaging of Outer Retinal Tubulation
Abstract
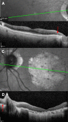
Purpose: To investigate outer retinal tubulation (ORT) using spectral domain optical coherence tomography (SD-OCT) and an adaptive optics scanning laser ophthalmoscope (AOSLO). To document the frequency of ORT in atrophic retinal conditions and quantify ORT dimensions versus adjacent retinal layers.
Methods: SD-OCT images were reviewed for the presence of retinal atrophy, scarring, and/or exudation. The greatest width of each ORT was quantified. Inner and outer retinal thicknesses adjacent to and within the area of ORT were measured for 18 patients. AOSLO imaged ORTs in five subjects with direct and scattered light imaging.
Results: ORT was identified in 47 of 76 subjects (61.8%) and in 65 eyes via SD-OCT in a wide range of conditions and ages, and in peripapillary atrophy. ORTs appeared as finger-like projections in atrophy, seen in the en face images. AOSLO showed some ORTs with bright cones that guide light within atrophic areas. Multiply scattered light mode AOSLO visualized variegated lines (18-35 μm) radiating from ORTs. The ORTs' width on OCT b-scan images varied from 70 to 509 μm. The inner retina at the ORT was significantly thinner than the adjacent retina, 135 vs.170 μm (P = .004), whereas the outer retina was significantly thicker, 115 vs. 80 μm (P = .03).
Conclusions: ORTs are quite common in eyes with retinal atrophy in various disorders. ORTs demonstrate surviving photoreceptors in tubular structures found within otherwise nonsupportive atrophic areas that lack retinal pigment epithelium and choriocapillaris.
Figures










References
-
- Zweifel SA, Engelbert M, Laud K, et al. Outer retinal tubulation a novel optical coherence tomography finding. Arch Ophthalmol 2009;127:1596–602. - PubMed
-
- Dolz-Marco R, Gallego-Pinazo R, Pinazo-Duran MD, et al. Outer retinal tubulation analysis in cases of macular dystrophy. Arch Soc Esp Oftalmol 2013;88:161–2. - PubMed
-
- Iriyama A, Aihara Y, Yanagi Y. Outer retinal tubulation in inherited retinal degenerative disease. Retina 2013;33:1462–5. - PubMed
MeSH terms
Grants and funding
LinkOut - more resources
Full Text Sources
Other Literature Sources
Research Materials