Spontaneous pneumomediastinum, pneumoretroperitoneum, and cervicofacial subcutaneous emphysema after repeatedly and forcefully blowing into a bottle
- PMID: 27987288
- PMCID: PMC5161802
- DOI: 10.3402/jchimp.v6.33361
Spontaneous pneumomediastinum, pneumoretroperitoneum, and cervicofacial subcutaneous emphysema after repeatedly and forcefully blowing into a bottle
Abstract
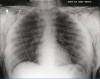
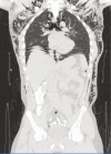
Spontaneous pneumomediastinum (SPM) is an uncommon, self-limiting condition associated with increased intra-thoracic pressure resulting in alveolar rupture. Search of the literature revealed no detailed case report about a 26-year-old psychiatric patient who repeatedly and forcefully blew air into a bottle for 5 days resulting in a combined condition of spontaneous pneumoretroperitoneum, pneumomediastinum, and cervicofacial subcutaneous emphysema. It is crucial to find a primary source and treat appropriately. Psychiatric patients may have psychotic behaviors mimicking Valsalva's maneuver that increases intra-thoracic pressure and causing SPM. Optimal medications should be given to control psychotic behaviors. Family members and caregivers should be explained about this unusual behavior so that they can prevent this rare condition.
Keywords: blowing bottle; pneumomediastinum; pneumoretroperitoneum; subcutaneous emphysema; valsalva maneuver.
Conflict of interest statement
and funding The authors have not received any funding or benefits from industry or elsewhere to conduct this study.
Figures





References
-
- Newcomb AE, Clarke CP. Spontaneous pneumomediastinum: A benign curiosity or a significant problem? Chest. 2005;128:3298–302. - PubMed
Publication types
LinkOut - more resources
Full Text Sources
Other Literature Sources