Endobronchial Valves for Endoscopic Lung Volume Reduction: Best Practice Recommendations from Expert Panel on Endoscopic Lung Volume Reduction
- PMID: 27992862
- PMCID: PMC5363212
- DOI: 10.1159/000453588
Endobronchial Valves for Endoscopic Lung Volume Reduction: Best Practice Recommendations from Expert Panel on Endoscopic Lung Volume Reduction
Abstract
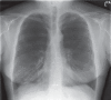
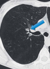
Endoscopic lung volume reduction (ELVR) is being adopted as a treatment option for carefully selected patients suffering from severe emphysema. ELVR with the one-way endobronchial Zephyr valves (EBV) has been demonstrated to improve pulmonary function, exercise capacity, and quality of life in patients with both heterogeneous and homogenous emphysema without collateral ventilation. In this "expert best practices" review, we will highlight the practical aspects of this therapy. Key selection criteria for ELVR are hyperinflation with a residual volume >175% of predicted, forced expiratory volume <50% of predicted, and a 6-min walking distance >100 m. Patients with repeated infectious complications, severe bronchiectasis, and those with unstable cardiovascular comorbidities should be excluded from EBV treatment. The procedure may be performed with either conscious sedation or general anesthesia and positive pressure mechanical ventilation using a flexible endotracheal tube or a rigid bronchoscope. Chartis and EBV placement should be performed in 1 procedure when possible. The sequence of valve placement should be orchestrated to avoid obstruction and delivery of subsequent valves. If atelectasis has not occurred by 1 month after procedure, evaluate valve position on CT and consider replacing the valves that are not optimally positioned. Pneumothorax is a common complication and typically occurs in the first 2 days following treatment. A management algorithm for pneumothorax has been previously published. Long-term sequelae from EBV therapy do occur but are easily manageable.
© 2016 The Author(s) Published by S. Karger AG, Basel.
Figures














References
-
- Herth FJ, Slebos DJ, Rabe KF, Shah PL. Endoscopic lung volume reduction: an expert panel recommendation. Respiration. 2016;91:241–250. - PubMed
-
- Herth FJ, Eberhardt R, Gompelmann D, Ficker JH, Wagner M, Ek L, Schmidt B, Slebos DJ. Radiological and clinical outcomes of using Chartis to plan endobronchial valve treatment. Eur Respir J. 2013;41:302–308. - PubMed
-
- Davey C, Zoumot Z, Jordan S, McNulty WH, Carr DH, Hind MD, Hansell DM, Rubens MB, Banya W, Polkey MI, Shah PL, Hopkinson NS. Bronchoscopic lung volume reduction with endobronchial valves for patients with heterogeneous emphysema and intact interlobar fissures (the BeLieVeR-HIFi study): a randomised controlled trial. Lancet. 2015;386:1066–1073. - PubMed
-
- Valipour A, Slebos DJ, Herth F, Darwiche K, Wagner M, Ficker JH, Petermann C, Hubner RH, Stanzel F, Eberhardt R, IMPACT Study Team Endobronchial valve therapy in patients with homogeneous emphysema: results from the IMPACT study. Am J Respir Crit Care Med. 2016;194:1073–1082. - PubMed
Publication types
MeSH terms
Substances
LinkOut - more resources
Full Text Sources
Other Literature Sources
Medical