Management of severe dengue hemorrhagic fever and bleeding complications in a primigravida patient: a case report
- PMID: 27998318
- PMCID: PMC5175310
- DOI: 10.1186/s13256-016-1129-7
Management of severe dengue hemorrhagic fever and bleeding complications in a primigravida patient: a case report
Abstract
Background: The incidence of dengue hemorrhagic fever is increasing among the adult population living in endemic areas. The disease carries a 0.73% fatality rate for the general population, but what happens when the disease strikes a special subpopulation group, the obstetrics? Perhaps the important question specific to this special subpopulation revolves around the right time and mode of delivery under severe coagulopathy and plasma leakage in conditions of imminent delivery.
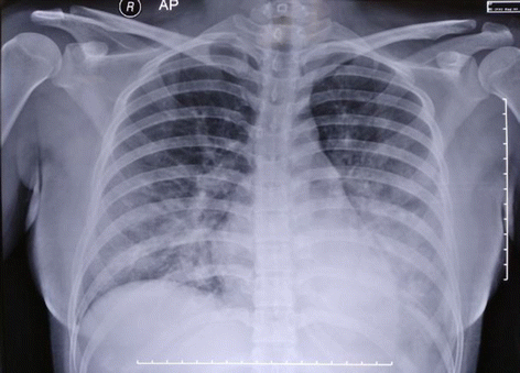
Case presentation: A 24-year-old primigravid Sundanese woman presented to our intensive care unit due to acute pulmonary edema secondary to massive plasma leakage caused by severe dengue. She tested positive for both immunoglobulin G and immunoglobulin M dengue serology indicating she had secondary dengue infection, which placed her at risk for an exaggerated cytokine response as was evident clinically. She had to undergo an emergency cesarean section which was later complicated by rebleeding and hemodynamic instability due to an atypical defervescence period. She was successfully managed by multiple blood transfusions and was discharged from our intensive care unit on day 8 without any negative sequel.
Conclusions: Fever, thrombocytopenia, and hemoconcentration are the classical symptoms of dengue hemorrhagic fever observed in adult, pediatric, and obstetric populations. However, a clinician must be particularly watchful in treating a pregnant dengue-infected patient as physiologic hematology changes provide greater volume compensation and the advent of shock marks significant volume loss. In conclusion, an important principle in the management of dengue hemorrhagic fever in pregnancy is to prioritize maternal well-being prior to addressing fetal issues.
Keywords: Bleeding; Case report; Dengue hemorrhagic fever; Pregnancy; Transfusions.
Figures
References
-
- Chitra TV, Panicker S. Maternal and fetal outcome of dengue fever in pregnancy. J Vector Borne Dis. 2011;48(4):210–3. - PubMed
-
- World Health Organization. Handbook of clinical management of dengue. Geneva: World Health Organization; 2012. p. 124.
Publication types
MeSH terms
LinkOut - more resources
Full Text Sources
Other Literature Sources
Medical
