Diagnosis and Treatment of Fibrotic Hypersensitivity Pneumonia. Where We Stand and Where We Need to Go
- PMID: 28002680
- PMCID: PMC5620675
- DOI: 10.1164/rccm.201608-1675PP
Diagnosis and Treatment of Fibrotic Hypersensitivity Pneumonia. Where We Stand and Where We Need to Go
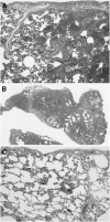
Figures



Comment in
-
Time for an International Consensus on Hypersensitivity Pneumonitis. A Call to Arms.Am J Respir Crit Care Med. 2017 Sep 15;196(6):665-666. doi: 10.1164/rccm.201707-1439ED. Am J Respir Crit Care Med. 2017. PMID: 28723313 No abstract available.
-
Reply to Fernández Pérez: Diagnostic Decision-Making in Hypersensitivity Pneumonitis: Toward a Consensus Statement.Am J Respir Crit Care Med. 2018 Jun 15;197(12):1647-1648. doi: 10.1164/rccm.201801-0125LE. Am J Respir Crit Care Med. 2018. PMID: 29505269 Free PMC article. No abstract available.
-
Diagnostic Decision-Making in Hypersensitivity Pneumonitis: Toward a Consensus Statement.Am J Respir Crit Care Med. 2018 Jun 15;197(12):1646-1647. doi: 10.1164/rccm.201711-2358LE. Am J Respir Crit Care Med. 2018. PMID: 29505271 No abstract available.
References
-
- Bang KM, Weissman DN, Pinheiro GA, Antao VC, Wood JM, Syamlal G. Twenty-three years of hypersensitivity pneumonitis mortality surveillance in the United States. Am J Ind Med. 2006;49:997–1004. - PubMed
-
- Solaymani-Dodaran M, West J, Smith C, Hubbard R. Extrinsic allergic alveolitis: incidence and mortality in the general population. QJM. 2007;100:233–237. - PubMed
-
- Raghu G, Collard HR, Egan JJ, Martinez FJ, Behr J, Brown KK, Colby TV, Cordier JF, Flaherty KR, Lasky JA, et al. ATS/ERS/JRS/ALAT Committee on Idiopathic Pulmonary Fibrosis. An official ATS/ERS/JRS/ALAT statement: idiopathic pulmonary fibrosis: evidence-based guidelines for diagnosis and management. Am J Respir Crit Care Med. 2011;183:788–824. - PMC - PubMed
-
- Morell F, Villar A, Montero MA, Muñoz X, Colby TV, Pipvath S, Cruz MJ, Raghu G. Chronic hypersensitivity pneumonitis in patients diagnosed with idiopathic pulmonary fibrosis: a prospective case-cohort study. Lancet Respir Med. 2013;1:685–694. - PubMed
Publication types
MeSH terms
Substances
Grants and funding
LinkOut - more resources
Full Text Sources
Other Literature Sources
Medical