Skip to main page content
U.S. flag

An official website of the United States government

Dot gov

The .gov means it’s official.
Federal government websites often end in .gov or .mil. Before sharing sensitive information, make sure you’re on a federal government site.

Https

The site is secure.
The https:// ensures that you are connecting to the official website and that any information you provide is encrypted and transmitted securely.

Access keys NCBI Homepage MyNCBI Homepage Main Content Main Navigation
. 2017 Jan;3(1):a001271.
doi: 10.1101/mcs.a001271.

Histiocytoid cardiomyopathy and microphthalmia with linear skin defects syndrome: phenotypes linked by truncating variants in NDUFB11

Affiliations

Histiocytoid cardiomyopathy and microphthalmia with linear skin defects syndrome: phenotypes linked by truncating variants in NDUFB11

Gillian Rea et al. Cold Spring Harb Mol Case Stud. 2017 Jan.

Abstract

Variants in NDUFB11, which encodes a structural component of complex I of the mitochondrial respiratory chain (MRC), were recently independently reported to cause histiocytoid cardiomyopathy (histiocytoid CM) and microphthalmia with linear skin defects syndrome (MLS syndrome). Here we report an additional case of histiocytoid CM, which carries a de novo nonsense variant in NDUFB11 (ENST00000276062.8: c.262C > T; p.[Arg88*]) identified using whole-exome sequencing (WES) of a family trio. An identical variant has been previously reported in association with MLS syndrome. The case we describe here lacked the diagnostic features of MLS syndrome, but a detailed clinical comparison of the two cases revealed significant phenotypic overlap. Heterozygous variants in HCCS (which encodes an important mitochondrially targeted protein) and COX7B, which, like NDUFB11, encodes a protein of the MRC, have also previously been identified in MLS syndrome including a case with features of both MLS syndrome and histiocytoid CM. However, a systematic review of WES data from previously published histiocytoid CM cases, alongside four additional cases presented here for the first time, did not identify any variants in these genes. We conclude that NDUFB11 variants play a role in the pathogenesis of both histiocytoid CM and MLS and that these disorders are allelic (genetically related).

Keywords: Wolff–Parkinson–White syndrome; asymmetric, linear skin defects; dilated cardiomyopathy; left ventricular noncompaction cardiomyopathy; linear hyperpigmentation; microphthalmos; oncocytic cardiomyopathy; ventricular fibrillation.

PubMed Disclaimer

Figures

Figure 1.
Figure 1.
(A) Sequence electropherogram from genomic DNA of child affected by histiocytoid cardiomyopathy (CM) from the family trio showing the NDUFB11 variant identified by whole-exome sequencing (WES) and confirmed by Sanger sequencing. The image shows part of NDUFB11 exon 2. Forward and reverse reads are shown. The red arrows point to the double peak in the electropherogram showing heterozygosity for the nonsense variant in NDUFB11 c.262C > T. The next-generation sequencing (NGS) coverage at this base was 62×, with 27 reference reads and 33 alternate reads. (B) Sequence electropherogram from genomic DNA of the unaffected mother from the trio showing no evidence of the NDUFB11 sequence-level variant that had been identified in the affected child. The image shows part of NDUFB11 exon 2. Forward and reverse reads are shown. The red arrows point to the base where the nonsense variant in NDUFB11 c.262C > T was detected in the affected daughter. The coverage at this base on WES was 50×, with no evidence of the variant. (C) Sequence electropherogram from genomic DNA of the unaffected father from the trio showing no evidence of the NDUFB11 variant that was identified in the affected child. The image shows part of NDUFB11 exon 2. Forward and reverse reads shown. The red arrows point to the base where the nonsense variant in NDUFB11 c.262C > T was detected in the affected daughter. The coverage at this base on WES was 26×, with no evidence of the variant.
Figure 2.
Figure 2.
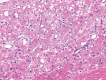
Histology of histiocytoid cardiomyopathy. Longitudinal section of myocardium from an infant with histiocytoid cardiomyopathy. A few normal myocytes are present in the lower part of the field. The remaining cells are histiocytoid myocytes.

References

    1. Al-Gazali LI, Mueller RF, Caine A, Dennis N, Antoniou A, Fitchett M, Insley J, Goodfellow PG, Hulten M. 1988. An XX male and two (X;Y) females with linear skin defects and congenital microphthalmia: a new syndrome at Xp22.3. J Med Genet 25: 638–639. - PMC - PubMed
    1. Bird LM, Krous HF, Eichenfield LF, Swalwell CI, Jones MC. 1994. Female infant with oncocytic cardiomyopathy and microphthalmia with linear skin defects (MLS): a clue to the pathogenesis of oncocytic cardiomyopathy? Am J Med Genet 53: 141–148. - PubMed
    1. DePristo MA, Banks E, Poplin R, Garimella KV, Maguire JR, Hartl C, Philippakis AA, del Angel G, Rivas MA, Hanna M, et al. 2011. A framework for variation discovery and genotyping using next-generation DNA sequencing data. Nat Genet 43: 491–498. - PMC - PubMed
    1. Ferrans VJ, McAllister HA Jr, Haese WH. 1976. Infantile cardiomyopathy with histiocytoid change in cardiac muscle cells. Report of six patients. Circulation 53: 708–719. - PubMed
    1. Gilbert-Barness E, Barness LA. 2006. Pathogenesis of cardiac conduction disorders in children genetic and histopathologic aspects. Am J Med Genet A 140: 1993–2006. - PubMed