Invasive pneumococcal disease caused by mucoid serotype 3 Streptococcus pneumoniae: a case report and literature review
- PMID: 28057059
- PMCID: PMC5217555
- DOI: 10.1186/s13104-016-2353-3
Invasive pneumococcal disease caused by mucoid serotype 3 Streptococcus pneumoniae: a case report and literature review
Abstract
Background: Among the different serotypes of Streptococcus pneumoniae, serotype 3 has received global attention. We report the fatal case of a 76-year-old Japanese man who had an invasive pneumococcal disease associated with pneumonia caused by serotype 3 S. pneumoniae.
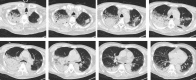
Case presentation: The patient had a history of hypertension, laryngeal cancer, chronic obstructive pulmonary disease, and type 2 diabetes mellitus. Following a cerebral arteriovenous malformation hemorrhage, he underwent surgery to remove the hematoma and began rehabilitation. On day 66 of hospitalization, he suddenly developed a fever, and coarse crackles and wheezes were heard in his right lung. A diagnosis of hospital-acquired aspiration pneumonia was made, and initial treatment with piperacillin/tazobactam was started. Teicoplanin was added after S. pneumoniae was isolated from the blood culture, however, the patient died 5 days later. The S. pneumoniae detected in the sputum smear was serotype 3, showed mucoid colonies and susceptibility to penicillins, cephalosporins, carbapenems, and levofloxacin, but resistance to erythromycin.
Conclusion: We experienced a fatal case of pneumonia caused by mucoid serotype 3 S. pneumoniae with a thick capsule. Serotype 3-associated pneumonia may develop a wider pulmonary infiltrative shadow, a prolonged therapeutic or hospitalization course, and a poor outcome. Careful observation and intervention are required, and the use of additional antibiotics or intravenous immunoglobulins should be considered in such cases. Pneumococcal immunization is also an important public health measure to minimize the development of severe infections caused by serotype 3 strains.
Keywords: IPD; Invasive Pneumococcal disease; Mucoid; Serotype 3; Streptococcus pneumoniae.
Figures
References
-
- Chiba N. Current status of invasive pneumococcal diseases and the preventive pneumococcal vaccines in Japan. Jpn J Chemother. 2011;59:561–572.
-
- Kawasaki S, Aoki N. A case of severe community-acquired pneumonia caused by mucoid type Streptococcus pneumoniae. Ann Jpn Resp Soc. 2015;4:303–308.
Publication types
MeSH terms
Substances
LinkOut - more resources
Full Text Sources
Other Literature Sources
