Case report: Rapid improvement of crossed cerebellar diaschisis after intravascular laser irradiation of blood in a case of stroke
- PMID: 28079797
- PMCID: PMC5266159
- DOI: 10.1097/MD.0000000000005646
Case report: Rapid improvement of crossed cerebellar diaschisis after intravascular laser irradiation of blood in a case of stroke
Abstract
Rationale: Crossed cerebellar diaschisis (CCD) is a poor prognostic factor after stroke because without immediate cerebral reperfusion no further improvements in the patient's condition can be achieved. We investigated the clinical effects of intravascular laser irradiation therapy (ILIB) on CCD and evaluated the therapeutic effect in the sub-acute post-stroke stage.
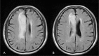
Patient concerns: The 77-year-old male with cerebral infarction in the territory of the right anterior cerebral artery only underwent conservative treatment including hydration and aspirin in the acute post-stroke stage.
Diagnosis: He was diagnosed as stroke based on the clinical presentations and imaging findings.
Intervention: Once the patient was in stable condition, he underwent a daily hour-long ILIB (He-Ne laser) for ten consecutive days during the sub-acute post-stroke stage.
Outcomes: We used single-photon emission computed tomography (SPECT) before and after intravascular laser irradiation to detect changes in cerebral and cerebellar perfusion. Then, we compared the two images. CCD was detected using the first SPECT. After intervention by ILIB, the second SPECT showed greater perfusion in the affected cerebellar hemisphere.
Lessons: We found that ILIB helped eliminate CCD, which was previously shown to be an untreatable condition using any intervention during the sub-acute post-stroke stage. Stroke patients could therefore greatly benefit from ILIB.
Conflict of interest statement
The authors have no funding and conflicts of interest to disclose.
Figures



References
-
- Szilagyi G, Vas A, Kerenyi L, et al. Correlation between crossed cerebellar diaschisis and clinical neurological scales. Acta Neurol Scand 2012;125:373–81. - PubMed
-
- Kazemi KN, Iravani A, Arjmand M, et al. A metabolomic study on the effect of intravascular laser blood irradiation on type 2 diabetic patients. Lasers Med Sci 2013;28:1527–32. - PubMed
-
- Sobesky J, Thiel A, Ghaemi M, et al. Crossed cerebellar diaschisis in acute human stroke: a PET study of serial changes and response to supratentorial reperfusion. J Cereb Blood Flow Metab 2005;25:1685–91. - PubMed
Publication types
MeSH terms
LinkOut - more resources
Full Text Sources
Other Literature Sources
Medical