Skip to main page content
U.S. flag

An official website of the United States government

Dot gov

The .gov means it’s official.
Federal government websites often end in .gov or .mil. Before sharing sensitive information, make sure you’re on a federal government site.

Https

The site is secure.
The https:// ensures that you are connecting to the official website and that any information you provide is encrypted and transmitted securely.

Access keys NCBI Homepage MyNCBI Homepage Main Content Main Navigation
Case Reports
. 2016 Nov-Dec;91(6):799-802.
doi: 10.1590/abd1806-4841.20164682.

Squamoid eccrine ductal carcinoma

Affiliations
Case Reports

Squamoid eccrine ductal carcinoma

Maria Isabel Ramos Saraiva et al. An Bras Dermatol. 2016 Nov-Dec.

Abstract

Squamoid eccrine ductal carcinoma is an eccrine carcinoma subtype, and only twelve cases have been reported until now. It is a rare tumor and its histopathological diagnosis is difficult. Almost half of patients are misdiagnosed as squamous cell carcinoma by the incisional biopsy. We report the thirteenth case of squamoid eccrine ductal carcinoma. Female patient, 72 years old, in the last 6 months presenting erythematous, keratotic and ulcerated papules on the nose. The incisional biopsy diagnosed squamoid eccrine ductal carcinoma. After excision, histopathology revealed positive margins. A wideningmargins surgery and grafting were performed, which again resulted in positive margins. The patient was then referred for radiotherapy. After 25 sessions, the injury reappeared. After another surgery, although the intraoperative biopsy showed free surgical margins, the product of resection revealed persistent lesion. Distinction between squamoid eccrine ductal carcinoma and squamous cell carcinoma is important because of the more aggressive nature of the first, which requires wider margins surgery to avoid recurrence.

PubMed Disclaimer

Conflict of interest statement

None

Figures

Figure 1
Figure 1
Clinical aspect of the lesion: erythematous papule, slightly keratotic and ulcerated in the nasal dorsum at the right
Figure 2
Figure 2
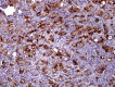
Histopathology revealed eccrine ductal carcinoma with squamous differentiation
Figure 3
Figure 3
Eccrine ductal carcinoma with squamous differentiation in higher increase
Figure 4
Figure 4
Immunohistochemistry reveals positivity for EMA
Figure 5
Figure 5
Immunohistochemistry reveals positivity for CEA
Figure 6
Figure 6
Squamoid area of cancer (HE, 400x)
Figure 7
Figure 7
Area with ductal differentiation (HE, 400x)

References

    1. Kim YJ, Kim AR, Yu DS. Mohs micrographic surgery for squamoid eccrine ductal carcinoma. Dermatol Surg. 2005;31:1462–1464. - PubMed
    1. Kim JW, Jeon MK, Kang SJ, Sun H. Surgical management of recurrent squamoid eccrine ductal carcinoma of the scalp. J Craniofac Surg. 2012;23:e276–e278. - PubMed
    1. Terushkin E, Leffell DJ, Futoryan T, Cowper S, Lazova R. Squamoid eccrine ductal carcinoma a case report and review of the literature. Am J Dermatopathol. 2010;32:287–292. - PubMed
    1. Jung YH, Jo HJ, Kang MS. Squamoid eccrine ductal carcinoma of the scalp. Korean J Pathol. 2012;46:278–281. - PMC - PubMed
    1. Chhibber V, Lyle S, Mahalingam M. Ductal eccrine carcinoma with squamous differentiation apropos a case. J Cutan Pathol. 2007;34:503–507. - PubMed

Publication types

LinkOut - more resources