Solid renal masses in adults
- PMID: 28104933
- PMCID: PMC5201069
- DOI: 10.4103/0971-3026.195773
Solid renal masses in adults
Abstract
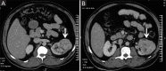
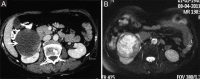
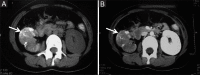
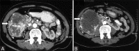
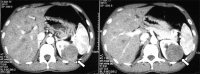
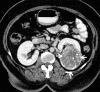
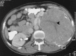
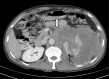
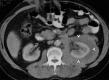
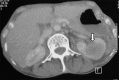
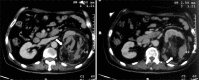
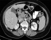
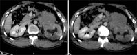
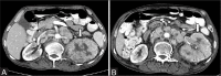
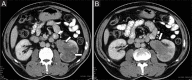
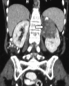
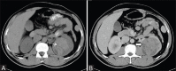
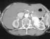
With the ever increasing trend of using cross-section imaging in today's era, incidental detection of small solid renal masses has dramatically multiplied. Coincidentally, the number of asymptomatic benign lesions being detected has also increased. The role of radiologists is not only to identify these lesions, but also go a one step further and accurately characterize various renal masses. Earlier detection of small renal cell carcinomas means identifying at the initial stage which has an impact on prognosis, patient management and healthcare costs. In this review article we share our experience with the typical and atypical solid renal masses encountered in adults in routine daily practice.
Keywords: Adults; RCC; renal masses; solid.
Conflict of interest statement
There are no conflicts of interest.
Figures

































Comment in
-
Author reply.Indian J Radiol Imaging. 2017 Apr-Jun;27(2):259-260. doi: 10.4103/ijri.IJRI_506_16. Indian J Radiol Imaging. 2017. PMID: 28744091 Free PMC article. No abstract available.
References
-
- Jemal A, Siegel R, Xu J, Ward E. Cancer statistics, 2010. CA Cancer J. 2010;60:277–300. - PubMed
-
- Kovacs G, Akhtar M, Beckwith BJ, Bugert P, Cooper CS, Delahunt B, et al. The Heidelberg classification of renal cell tumours. J Pathol. 1997;183:131–3. - PubMed
-
- Pahernik S, Ziegler S, Roos F, Melchior SW, Thüroff JW. Small renal tumors: Correlation of clinical and pathological features with tumor size. J Urol. 2007;178:414–7. - PubMed
LinkOut - more resources
Full Text Sources
Other Literature Sources