Rare Occurrence of a Poorly Differentiated Neuroendocrine Tumor of the Bladder
- PMID: 28115940
- PMCID: PMC5237721
- DOI: 10.1155/2017/4812453
Rare Occurrence of a Poorly Differentiated Neuroendocrine Tumor of the Bladder
Abstract
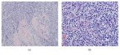
Neuroendocrine tumors rarely occur in the urinary bladder. They can be carcinomatous, subdivided into small cell and large cell pathology. Small cell carcinoma of the bladder is a rarity that may present at an advanced pathologic stage. No treatment regimens have been standardized for local or metastatic disease. Review of the recent literature shows equivalent survival data for localized disease treated with chemoradiotherapy combined with either bladder sparing surgery or radical cystectomy. Patients with significant comorbidities are an additional challenge. We report a case of poorly differentiated neuroendocrine tumor of the bladder, which could not be classified as small or large cell carcinoma, complicated by significant comorbidities. After management with transurethral resection of the tumor, adjuvant chemotherapy, and radiation, the patient is alive and asymptomatic nearly 1 year after initial TURBT with no evidence of disease recurrence.
Conflict of interest statement
The authors declare that they have no competing interests.
Figures
 
              
              
              
              
                
                
                 
              
              
              
              
                
                
                References
Publication types
LinkOut - more resources
- Full Text Sources
- Other Literature Sources
 
        