Huge echinococcal cyst of the liver managed by hepatectomy: Report of two cases
- PMID: 28122318
- PMCID: PMC5257183
- DOI: 10.1016/j.ijscr.2017.01.017
Huge echinococcal cyst of the liver managed by hepatectomy: Report of two cases
Abstract
Introduction: Echinococcocal cysts are predominantly located in the right liver. They are usually solitary and asymptomatic, but large cysts can cause compression symptoms.
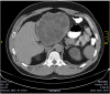
Case reports: We report two cases of huge (25cm and 20cm in diameter, respectively) echinococcal cysts located in the left liver, which presented as a large palpable mass causing compression symptoms. Diagnosis was established with CT scan showing a cystic mass with the characteristic daughter cysts and reactive layer (pericystic wall) consisting of fibrous connective tissue and calcifications. Both patients were treated radically with left hepatectomy and had uneventful postoperative course and no recurrence upon follow-up.
Discussion: The treatment of liver echinococcal cysts represent a unique surgical challenge. Even though conservative approaches are less technically demanding, the radical approach with resection has better outcome with less recurrences, when performed by experienced surgeons.
Conclusion: Resection rather than drainage is the management of choice for such huge liver echinococcal cysts.
Keywords: Echinococcal cyst; Echinococcosis; Hepatectomy; Hepatic hydatid disease; Liver cysts.
Copyright © 2017 The Authors. Published by Elsevier Ltd.. All rights reserved.
Figures






References
-
- Richter J., Profis E., Holtfreter M.C., Orhun A., Müller-Stöver I., Dedelen H., Kubitz R. Anaphylactic shock ensuing therapeutic puncture of an echinococcal cyst. Parasitol. Res. 2015;114:763–766. - PubMed
-
- Symeonidis N., Pavlidis T., Baltatzis M., Ballas K., Psarras K., Marakis G., Sakantamis A. Complicated liver echinococcosis: 30 years of experience from an endemic area. Scand. J. Surg. 2013;102:171–177. - PubMed
-
- Garcea G., Rajesh A., Dennison A.R. Surgical management of cystic lesions in the liver. ANZ J. Surg. 2013;83:516–522. - PubMed
-
- Pavlidis T.E., Katsinelos P.T., Tsiaousis P.Z., Atmatzidis K.S. Intrabiliary rupture of a large liver echinococcal cyst in an adolescent managed with endoscopic sphincterotomy and albendazole. J. Laparoendosc. Adv. Surg. Tech. A. 2006;16:493–496. - PubMed
LinkOut - more resources
Full Text Sources
Other Literature Sources