Skip to main page content
U.S. flag

An official website of the United States government

Dot gov

The .gov means it’s official.
Federal government websites often end in .gov or .mil. Before sharing sensitive information, make sure you’re on a federal government site.

Https

The site is secure.
The https:// ensures that you are connecting to the official website and that any information you provide is encrypted and transmitted securely.

Access keys NCBI Homepage MyNCBI Homepage Main Content Main Navigation
Observational Study
. 2017 Feb 21;88(8):782-788.
doi: 10.1212/WNL.0000000000003630. Epub 2017 Jan 25.

Ischemic lesions, blood pressure dysregulation, and poor outcomes in intracerebral hemorrhage

Affiliations
Observational Study

Ischemic lesions, blood pressure dysregulation, and poor outcomes in intracerebral hemorrhage

Chelsea S Kidwell et al. Neurology. .

Abstract

Objective: To evaluate the associations among diffusion-weighted imaging (DWI) lesions, blood pressure (BP) dysregulation, MRI markers of small vessel disease, and poor outcome in a large, prospective study of primary intracerebral hemorrhage (ICH).

Methods: The Ethnic/Racial Variations of Intracerebral Hemorrhage (ERICH) study is a multicenter, observational study of ICH among white, black, and Hispanic patients.

Results: Of 600 patients, mean (±SD) age was 60.8 ± 13.6 years, median (interquartile range) ICH volume was 9.1 mL (3.5-20.8), and 79.6% had hypertension. Overall, 26.5% of cases had DWI lesions, and this frequency differed by race/ethnicity (black 33.8%, Hispanic 24.9%, white 20.2%, overall p = 0.006). A logistic regression model of variables associated with DWI lesions included lower age (odds ratio [OR] 0.721, p = 0.002), higher first recorded systolic BP (10-unit OR 1.12, p = 0.002), greater change in mean arterial pressure (MAP) prior to the MRI (10-unit OR 1.10, p = 0.037), microbleeds (OR 1.99, p = 0.008), and higher white matter hyperintensity (WMH) score (1-unit OR 1.16, p = 0.002) after controlling for race/ethnicity, leukocyte count, and acute in-hospital antihypertensive treatment. A second model of variables associated with poor 90-day functional outcome (modified Rankin Scale scores 4-6) included DWI lesion count (OR 1.085, p = 0.034) as well as age, ICH volume, intraventricular hemorrhage, Glasgow Coma Scale score, WMH score, race/ethnicity, acute in-hospital antihypertensive treatment, and ICH location.

Conclusions: These results support the hypotheses that acute BP dysregulation is associated with the development of DWI lesions in primary ICH and that DWI lesions are, in turn, associated with poor outcomes.

PubMed Disclaimer

Figures

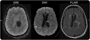
Figure 1
Figure 1. MRI
Left periventricular hemorrhage (gradient recalled echo [GRE], left panel) in a 45-year-old black man with hypertension. Middle panel (diffusion-weighted imaging [DWI]) shows multiple scattered ischemic lesions remote from the hematoma. Right panel (fluid-attenuated inversion recovery [FLAIR]) shows moderately severe white matter disease. The delta mean arterial pressure prior to the MRI was 106 mm Hg.
Figure 2
Figure 2. Modified Rankin Scale (mRS) scores at 90 days for patients with and without ischemic diffusion-weighted imaging (DWI) lesions
Patients with DWI lesions had a higher frequency of poor outcomes (mRS 4–6).

Comment in

References

    1. Qureshi AI, Tuhrim S, Broderick JP, Batjer HH, Hondo H, Hanley DF. Spontaneous intracerebral hemorrhage. N Engl J Med 2001;344:1450–1460. - PubMed
    1. Krishnamurthi RV, Feigin VL, Forouzanfar MH, et al. . Global and regional burden of first-ever ischaemic and haemorrhagic stroke during 1990–2010: findings from the Global Burden of Disease Study 2010. Lancet Glob Health 2013;1:e259–e281. - PMC - PubMed
    1. Davis SM, Broderick J, Hennerici M, et al. . Hematoma growth is a determinant of mortality and poor outcome after intracerebral hemorrhage. Neurology 2006;66:1175–1181. - PubMed
    1. Vemmos KN, Tsivgoulis G, Spengos K, et al. . U-shaped relationship between mortality and admission blood pressure in patients with acute stroke. J Intern Med 2004;255:257–265. - PubMed
    1. Koch S, Romano JG, Forteza AM, Otero CM, Rabinstein AA. Rapid blood pressure reduction in acute intracerebral hemorrhage: feasibility and safety. Neurocrit Care 2008;8:316–321. - PubMed

Publication types

MeSH terms