Lesson of the month 2: Transient reversible amnesia in multiple sclerosis
- PMID: 28148589
- PMCID: PMC6297581
- DOI: 10.7861/clinmedicine.17-1-88
Lesson of the month 2: Transient reversible amnesia in multiple sclerosis
Abstract
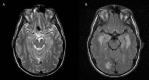
Transient amnestic syndromes are fascinating clinical entities and there are several subtypes. Transient global amnesia (TGA) is characterised by sudden onset of anterograde amnesia with repetitive questioning, lasting less than 24 hours. The pathophysiology of TGA involves the medial temporal lobes and hippocampi. Episodes of TGA are thought to involve venous congestion with Valsalva-like activities, vascular or migrainous mechanisms. In contrast, transient epileptic amnesia manifests as brief and frequent episodes of amnesia due to seizure activity in the temporal lobes. Transient memory disturbances can also be caused by transient ischaemic attack. We describe the first reported case of transient reversible amnesia directly attributable to acute demyelination. This case reminds us that multiple sclerosis relapses may present with acute cognitive impairment rather than the more classical physical symptoms. This is an important learning point in terms of appropriate management and eligibility for disease-modifying drugs.
Keywords: Anterograde amnesia; demyelinating disorders; multiple sclerosis; temporal lobe.
© Royal College of Physicians 2017. All rights reserved.
Figures

References
-
- Butler CR. Zeman AZJ. Syndromes of transient amnesia. Adv Clin Neurosci Rehabil. 2006;6:13–4.
-
- Jenkins PO. Perry R. Malik M. Multiple sclerosis presenting as a relapsing amnestic syndrome. Pract Neurol. 2014;14:100–1. - PubMed
Publication types
MeSH terms
LinkOut - more resources
Full Text Sources
Other Literature Sources
Medical