Multiple Thymoma with Myasthenia Gravis
- PMID: 28180109
- PMCID: PMC5295489
- DOI: 10.5090/kjtcs.2017.50.1.68
Multiple Thymoma with Myasthenia Gravis
Abstract
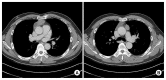
The actual incidence of multiple thymoma is unknown and rarely reported because it remains controversial whether the cases represent a disease of multicentric origin or a disease resulting from intrathymic metastasis. In this case, a patient underwent total thymectomy for multiple thymoma with myasthenia gravis via bilateral video-assisted thoracic surgery. A well-encapsulated multinodular cystic mass, measuring 57 mm×50 mm×22 mm in the right lobe of the thymus, and a well-encapsulated mass, measuring 32 mm×15 mm×14 mm in the left lobe, were found. Both tumors were type B2 thymoma. Few cases of multiple thymoma with myasthenia gravis have ever been reported in the literature. We report a case of synchronous multiple thymoma associated with myasthenia gravis.
Keywords: Myasthenia gravis; Thymectomy; Thymoma; Thymus; Video-assisted thoracic surgery (VATS).
Figures
References
-
- Kim HJ, Kim DK, Park SI, et al. The effect of thymoma on remission for patients who undergo thymectomy for myasthenia gravis. Korean J Thorac Cardiovasc Surg. 2007;40:759–64.
-
- Bernatz PE, Harrison EG, Clagett OT. Thymoma: a clinicopathologic study. J Thorac Cardiovasc Surg. 1961;42:424–44. - PubMed
-
- Jaretzki A, 3rd, Penn AS, Younger DS, et al. “Maximal” thymectomy for myasthenia gravis: results. J Thorac Cardiovasc Surg. 1988;95:747–57. - PubMed
Publication types
LinkOut - more resources
Full Text Sources
Other Literature Sources
