Use of bedside ultrasound to diagnose dislodged gastric band
- PMID: 28191239
- PMCID: PMC5024957
- DOI: 10.1002/j.2205-0140.2015.tb00022.x
Use of bedside ultrasound to diagnose dislodged gastric band
Abstract
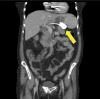
Introduction: Obesity levels mean an increased presentation of patients with Laparoscopic adjustable gastric banding (LAGB). Method: Literature search revealed a paucity of information on ultrasonography to diagnose a slipped LAGB. Conclusion: 2D Ultrasonography with a standard low frequency curvilinear probe proved to be a simple, effective method of diagnosing slipped Laparoscopic adjustable gastric banding (LAGB). We suggest the inclusion of routine abdominal ultrasound (after drinking water to improve sensitivity of the test) as part of the routine workup of suspected LAGB slippage.
Keywords: LAGB; PoCUS; clinician ultrasound; gastric band.
Figures




References
-
- Australian Bureau of Statistics. (ABS) , publication no 4719.0: Overweight and Obesity in Adults, Australia. 2004–2005(ABS cat. no. 4719.0.), available at http://www.abs.gov.au/ausstats/abs@.nsf/mf/4719.0/. [cited 30.09.2014].
-
- Khalafzai RU. Laparoscopic Adjustable Gastric Banding: A Miracle Cure? Chisholm Health Ethics Bulletin 2008; 13: 1–4.
-
- Australian Bureau of Statistics. (ABS) , publication no 4102.0: Australian Social Trends. Dec 2009(ABS cat.no. 4102.0), available at http://www.abs.gov.au/AUSSTATS/abs@.nsf/Lookup/4102.0Main+Features30Dec+.... [cited 30.09.2014].
Publication types
LinkOut - more resources
Full Text Sources
Other Literature Sources