ALCAPA in an Octogenarian Woman: An Enigma
- PMID: 28197243
- PMCID: PMC5295524
- DOI: 10.14740/cr400w
ALCAPA in an Octogenarian Woman: An Enigma
Abstract
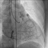
ALCAPA syndrome (anomalous origin of the left coronary artery from the pulmonary artery) is an exceedingly rare disease but lethal with clinical expression from myocardial infarction, congestive heart failure to death during early infancy and rare survival to adulthood. A 75-year-old woman with ALCAPA syndrome presented with angina (Canadian Cardiovascular Society functional class II) over past 8 months. Physical examination was within normal limits except pan-systolic murmur at the apex. Electrocardiography displayed poor R progression in precordial leads and signs of left ventricular hypertrophy. Echocardiography established presence of continuous flow entering the pulmonary trunk and normal systolic function. Coronary angiogram showed absence of left coronary artery originating from aorta, dilated and tortuous right coronary artery (RCA) and abundant Rentrop grade 3 intercoronary collateral communicating with left coronary artery originating from pulmonary trunk which was also confirmed on CT angiogram thus establishing diagnosis of ALCAPA. Survival in eight decade with this anomaly is still an enigma.
Keywords: ALCAPA syndrome; Arrythmia; Collateral circulation; Ischemic cardiomyopathy.
Figures





References
-
- Wilson CL, Dlabal PW, Holeyfield RW, Akins CW, Knauf DG. Anomalous origin of left coronary artery from pulmonary artery. Case report and review of literature concerning teen-agers and adults. J Thorac Cardiovasc Surg. 1977;73(6):887–893. - PubMed
-
- Wollenek G, Domanig E, Salzer-Muhar U, Havel M, Wimmer M, Wolner E. Anomalous origin of the left coronary artery: a review of surgical management in 13 patients. J Cardiovasc Surg (Torino) 1993;34(5):399–405. - PubMed
Publication types
LinkOut - more resources
Full Text Sources
Other Literature Sources
Miscellaneous