Management of Atrio-Esophageal Fistula Following Left Atrial Ablation
- PMID: 28197267
- PMCID: PMC5295533
- DOI: 10.14740/cr454e
Management of Atrio-Esophageal Fistula Following Left Atrial Ablation
Abstract
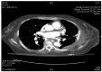
Currently, no guidelines have been established for the treatment of atrio-esophageal fistula (AEF) secondary to left atrial ablation therapy. After comprehensive literature review, we aim to make suggestions on the management of this complex complication and also present a case series. We performed a review of the existing literature on AEF in the setting of atrial ablation. Using keywords atrial fibrillation, atrial ablation, fistula formation, atrio-esophageal fistula, complications, interventions, and prognosis, a search was made using the medical databases PUBMED and MEDLINE for reports in English from 2000 to April 2015. A statistical analysis was performed to compare the three different intervention arms: medical management, stent placement and surgical intervention. The results of our systematic review confirm the high mortality rate associated with AEF following left atrial ablation and the necessity to diagnose atrio-esophageal injury in a timely manner. The mortality rates of this complication are 96% with medical management alone, 100% with stent placement, and 33 % with surgical intervention. Atrio-esophageal injury and subsequent AEF is an infrequent but potentially fatal complication of atrial ablation. Early, prompt, and definitive surgical intervention is the treatment of choice.
Keywords: Arrhythmia; Atrial ablation; Atrial fibrillation; Atrio-esophageal fistula.
Figures






References
Publication types
LinkOut - more resources
Full Text Sources
Other Literature Sources
Miscellaneous