Metronomic Capecitabine Effectively Blocks Leptomeningeal Carcinomatosis From Breast Cancer: A Case Report and Literature Review
- PMID: 28242865
- PMCID: PMC5340224
- DOI: 10.12659/ajcr.901812
Metronomic Capecitabine Effectively Blocks Leptomeningeal Carcinomatosis From Breast Cancer: A Case Report and Literature Review
Abstract
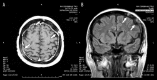
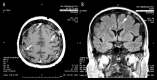
BACKGROUND Meningeal carcinomatosis is a rare complication in breast cancer patients. At present, there are no defined guidelines for its management. The efficacy of systemic treatment seems to depend on its ability to cross the blood-brain-barrier and its interaction with tumor vasculature. Metronomic chemotherapy is a known modality of drug administration able to inhibit tumor angiogenesis. CASE REPORT We present a case of symptomatic leptomeningeal carcinomatosis from breast cancer successfully treated with capecitabine. Based on the hypothesis that angiogenesis contributes to neoplastic meningitis, the patient was treated with a metronomic schedule that provided long-term clinical benefit with a very low toxicity profile. CONCLUSIONS To assess the real impact of metronomic chemotherapy in patients with meninges involvement, a phase II study will be starting soon in our institution. A review of the literature concerning the management of meningeal carcinomatosis is also presented.
Conflict of interest statement
The authors have declared no conflicts of interest.
Figures
References
-
- Rudnicka H, Niwińska A, Murawska M. BC leptomeningeal metastasis-the role of multimodality treatment. J Neurooncol. 2007;84(1):57–62. - PubMed
-
- Boogerd W, Dorresteijn LD, van Der Sande JJ, et al. Response of leptomeningeal metastases from BC to hormonal therapy. Neurology. 2000;55(1):117–19. - PubMed
-
- Emmenegger U, Kerbel RS. Five years of clinical experience with metronomic chemotherapy: achievements and perspectives. Onkologie. 2007;30(12):606–8. - PubMed
-
- Glantz MJ, Jaeckle KA, Chamberlain MC, et al. A randomized controlled trial comparing intrathecal sustained-release cytarabine (DepoCyt) to intrathecal methotrexate in patients with neoplastic meningitis from solid tumors. Clin Cancer Res. 1999;5(11):3394–402. - PubMed
Publication types
MeSH terms
Substances
LinkOut - more resources
Full Text Sources
Medical
