A case of mixed adenoneuroendocrine carcinoma of the pancreas: Immunohistochemical analysis for histogenesis
- PMID: 28248881
- PMCID: PMC5340454
- DOI: 10.1097/MD.0000000000006225
A case of mixed adenoneuroendocrine carcinoma of the pancreas: Immunohistochemical analysis for histogenesis
Abstract
Rationale: Tumors with multiple histological features, such as adenocarcinomas and neuroendocrine carcinomas, were included as a new category of neuroendocrine carcinomas in the 2010 World Health Organization classification. We recently experienced a rare case of a pancreatic carcinoma with both adenocarcinoma and neuroendocrine carcinoma components, a so-called mixed adenoneuroendocrine carcinoma.
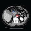
Patient concerns and diagnosis: A 66-year-old man was referred to our hospital with obstructive jaundice. Contrast-enhanced computed tomography images indicated a tumor located at the pancreatic head measuring 3.0 × 2.5 cm in diameter and invading the common bile duct. Cytological examination of the bile juice obtained by endoscopic retrograde cholangiopancreatography revealed adenocarcinoma cells. Pancreaticoduodenectomy was performed safely as radical resection.
Interventions: Microscopically, the resected tumor consisted of tightly intermingled adenocarcinoma and neuroendocrine carcinoma components. On the immunohistochemical examination, p53 was ubiquitously positive in both components, whereas chromogranin A, synaptophysin and neuron-specific enolase, neuroendocrine markers, were limited to the neuroendocrine carcinoma component.
Outcomes: Thus, such features of both adenocarcinoma and neuroendocrine carcinoma observed microscopically and immunohistochemically seemed to indicate a composite tumor.
Lessons: The findings of this case suggest that adenocarcinoma and neuroendocrine carcinoma may be derived from a single cancer stem cell.
Conflict of interest statement
The authors have no funding and conflicts of interest to disclose.
Figures


References
-
- Bosman FT, Carneiro F, Theise ND. Nomenclature and classification of neuroendocrine neoplasms of digestive system. WHO Classification of Tumors of the Digestive System 4th ed.Lyon: IARC; 2010. 13–4.
-
- Vanacker L, Smeets D, Hoorens A, et al. Mixed adenoneuroendocrine carcinoma of the colon: molecular pathogenesis and treatment. Anticancer Res 2014;34:5517–22. - PubMed
Publication types
MeSH terms
LinkOut - more resources
Full Text Sources
Other Literature Sources
Medical
Research Materials
Miscellaneous