Well-differentiated adenocarcinoma associated with ulcerative colitis
- PMID: 28255443
- PMCID: PMC5315366
- DOI: 10.1177/2050313X17692902
Well-differentiated adenocarcinoma associated with ulcerative colitis
Abstract
Objectives: Adenocarcinoma is known to be associated with ulcerative colitis, but the diagnosis is sometimes challenging, both clinically and pathologically.
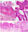
Methods and results: We present a case of extremely well-differentiated adenocarcinoma associated with ulcerative colitis, in which preoperative diagnosis was not possible. Glands in biopsy specimens showed a serrated appearance that looked like low-grade dysplasia or regenerative mucosa. After an operation due to severe symptoms of stenosis, carcinoma was diagnosed. Tumor cells, especially in invasive glands, tended to show stronger immunoreactivity against anti-CK7, TNF-α and Aurora B antibodies compared to cells of mucosal lesion. Interestingly, CD44v6, one of the adhesion molecules, was less expressed in invasive glands, while those glands exhibited stronger expression of a disintegrin and metalloproteinase 17 (ADAM 17), one of the sheddases that cleaves an extracellular domain of CD44.
Conclusions: These observations appear interesting to consider the pathogenesis and to diagnose extremely well-differentiated adenocarcinoma in ulcerative colitis, although further investigation is needed.
Keywords: CD44v6; CK7; TNF-α; Ulcerative colitis; extremely well-differentiated adenocarcinoma.
Conflict of interest statement
Declaration of conflicting interests: The author(s) declared no potential conflicts of interest with respect to the research, authorship and/or publication of this article.
Figures
References
-
- Kulaylat MN, Dayton MT. Ulcerative colitis and cancer. J Surg Oncol 2010; 101: 706–712. - PubMed
-
- Levi GS, Harpaz N. Intestinal low-grade tubuloglandular adenocarcinoma in inflammatory bowel disease. Am J Surg Pathol 2006; 30: 1022–1029. - PubMed
-
- Srivastava A, Redston M, Farraye FA, et al. Hyperplastic/serrated polyposis in inflammatory bowel disease: a case series of a previously undescribed entity. Am J Surg Pathol 2008; 32: 296–303. - PubMed
-
- Ajioka Y, Watanabe H, Masuda K. Over-expression of p53 protein in neoplastic changes in ulcerative colitis: immunohistochemical study. J Gastroenterol 1995; 30: 33–35. - PubMed
Publication types
LinkOut - more resources
Full Text Sources
Other Literature Sources
Research Materials
Miscellaneous
