Plasmacytoid Urothelial Carcinoma of the Urinary Bladder Metastatic to the Duodenum: A Case Report-Diagnostic Relevance of GATA3 Immunohistochemistry
- PMID: 28255490
- PMCID: PMC5306993
- DOI: 10.1155/2017/5209059
Plasmacytoid Urothelial Carcinoma of the Urinary Bladder Metastatic to the Duodenum: A Case Report-Diagnostic Relevance of GATA3 Immunohistochemistry
Abstract
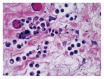
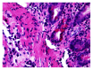
Plasmacytoid urothelial carcinoma (PUC) of the urinary bladder is a rare and aggressive subtype of urothelial carcinoma. Its deceptive morphology is characterized by a discohesive growth of cells with plasmacytoid morphology. Since this tumor might be confused with plasmacytoma, lymphoma, or carcinoma variants, appropriate diagnosis in small biopsy samples could be challenging. This study reports the case of a 53-year-old man who presented with frequent nocturnal urgency, without hematuria. A transurethral bladder and a prostate resection specimen displayed infiltration of neoplastic cells in a spray-like discohesive pattern with occasional formation of small irregular nests and cord-like arrangements. The basic morphology of the tumor cells was plasmacytoid, with eccentric nuclei and eosinophilic cytoplasm. Tumor cells grew through the lamina muscularis mucosae, with splintering of the bladder wall musculature and infiltration of prostatic tissue. They displayed strong and diffuse nuclear reactivity for p53 and GATA3. Eight months after surgery, the patient experienced upper abdominal discomfort. A duodenal biopsy showed infiltration of plasmacytoid atypical cells strongly immunoreactive for GATA3, consistent with the previously diagnosed PUC. The patient died eleven months after the primary diagnosis of his PUC of tumor cachexia losing about 50% of his original body weight, furthermore, with ascites and intraperitoneal tumor spread.
Conflict of interest statement
The author has no conflict of interests to declare.
Figures
References
-
- Eble S., Epstein J., Sesterhenn A., editors. Classification of Tumors. Pathology and Genetics of the Tumors of the Urinary System and Male Genital Organs. Lyon, France: World Health Organization; 2004.
Publication types
LinkOut - more resources
Full Text Sources
Other Literature Sources
Research Materials
Miscellaneous
