Skip to main page content
U.S. flag

An official website of the United States government

Dot gov

The .gov means it’s official.
Federal government websites often end in .gov or .mil. Before sharing sensitive information, make sure you’re on a federal government site.

Https

The site is secure.
The https:// ensures that you are connecting to the official website and that any information you provide is encrypted and transmitted securely.

Access keys NCBI Homepage MyNCBI Homepage Main Content Main Navigation
Review
. 2017 Jan 23;9(1):e993.
doi: 10.7759/cureus.993.

Pulmonary Vein Thrombosis: A Recent Systematic Review

Affiliations
Review

Pulmonary Vein Thrombosis: A Recent Systematic Review

Gerard Chaaya et al. Cureus. .

Abstract

The pulmonary veins (PVs) are the most proximal source of arterial thromboembolism. Pulmonary vein thrombosis (PVT) is a rare but potentially lethal disease; its incidence is unclear, as most of the literature includes case reports. It most commonly occurs as a complica-tion of malignancy, post lung surgery, or atrial fibrillation and can be idiopathic in some cases. Most patients with PVT are commonly asymptomatic or have nonspecific symptoms such as cough, hemoptysis, and dyspnea from pulmonary edema or infarction. The thrombi are typically detected using a variety of imaging modalities including transesophageal echocardiogram (TEE), computed tomography (CT) scanning, magnetic resonance imaging (MRI), or pulmonary angiog-raphy. Treatment should be determined by the obstructing pathological finding and can include antibiotic therapy, anticoagulation, thrombectomy, and/or pulmonary resection. The delay in diagnosing this medical entity can lead to complications including pulmonary infarction, pulmonary edema, right ventricular failure, allograft failure, and peripheral embolism resulting in limb ischemia, stroke, and renal infarction (RI).

Keywords: pulmonary vein; thrombosis.

PubMed Disclaimer

Conflict of interest statement

The authors have declared that no competing interests exist.

Figures

Figure 1
Figure 1. The hypothesis of a thrombus in the pulmonary vein stump after lobectomy
In a short PV stump, blood flow may occur because blood flow in the left atrium (LA) spreads through the entire PV stump. In the long PV stump, turbulent flow or stasis of blood may occur because blood flow in the LA does not spread throughout the stump [6].
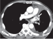
Figure 2
Figure 2. CT scan of the chest with IV contrast
A thrombus (white arrow) in the left superior pulmonary vein stump after left upper lobectomy [6].
Figure 3
Figure 3. Baseline 2D transesophageal echocardiography
TEE demonstrating mobile echogenic thrombus within right superior pulmonary vein. LA = left atrium; RSPV = right superior pulmonary vein; THROMBUS = pulmonary vein thrombus [36].

References

    1. Pulmonary vein thrombosis. Kim NH, Roldan CA, Shively BK. Chest. 1993;104:624–626. - PubMed
    1. Idiopathic pulmonary fibrosis associated with pulmonary vein thrombosis: a case report. Cavaco RA, Kaul S, Chapman T, et al. Cases J. 2009;2:9156. - PMC - PubMed
    1. Pulmonary vein thrombosis and peripheral embolization. Garcia M, Rodriguez L, Vandervoort P. http://www.ncbi.nlm.nih.gov/pubmed/8617103. Chest. 1996;109:846–847. - PubMed
    1. Pulmonary vein thrombosis associated with a large hiatal hernia. Saoraya J, Inboriboon PC. J Emerg Med. 2013;44:299–301. - PubMed
    1. Idiopathic pulmonary vein thrombosis. Mumoli N, Cei M. J Emerg Med. 2012;42:182–183. - PubMed

LinkOut - more resources