Update on complications of synthetic suburethral slings
- PMID: 28266818
- PMCID: PMC5678512
- DOI: 10.1590/S1677-5538.IBJU.2016.0250
Update on complications of synthetic suburethral slings
Abstract
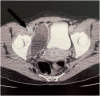
Synthetic suburethral slings have become the most widely used technique for the surgical treatment of stress urinary incontinence. Despite its high success rates, significant complications have been reported including bleeding, urethral or bladder injury, urethral or bladder mesh erosion, intestinal perforation, vaginal extrusion of mesh, urinary tract infection, pain, urinary urgency and bladder outlet obstruction. Recent warnings from important regulatory agencies worldwide concerning safety issues of the use of mesh for urogynecological reconstruction have had a strong impact on patients as well as surgeons and manufacturers. In this paper, we reviewed the literature regarding surgical morbidity associated with synthetic suburethral slings.
Keywords: Polypropylenes; Postoperative Complications; Urinary Incontinence.
Copyright® by the International Brazilian Journal of Urology.
Conflict of interest statement
Conflict of interest: None declared.
Figures












References
-
- Norton P, Brubaker L. Urinary incontinence in women. Lancet. 2006;367:57–67. - PubMed
-
- Abouassaly R, Steinberg JR, Lemieux M, Marais C, Gilchrist LI, Bourque JL, et al. Complications of tension-free vaginal tape surgery: a multi-institutional review. BJU Int. 2004;94:110–113. - PubMed
-
- Ballert KN, Rose AE, Biggs GY, Rosenblum N, Nitti VW. Outcomes of patients lost to followup after mid urethral synthetic slings–successes or failures? J Urol. 2010;183:1455–1458. - PubMed
-
- Barry C, Lim YN, Muller R, Hitchins S, Corstiaans A, Foote A, et al. A multi-centre, randomised clinical control trial comparing the retropubic (RP) approach versus the transobturator approach (TO) for tension-free, suburethral sling treatment of urodynamic stress incontinence: the TORP study. Int Urogynecol J Pelvic Floor Dysfunct. 2008;19:171–178. - PubMed
-
- Daraï E, Frobert JL, Grisard-Anaf M, Lienhart J, Fernandez H, Dubernard G, et al. Functional results after the suburethral sling procedure for urinary stress incontinence: a prospective randomized multicentre study comparing the retropubic and transobturator routes. Eur Urol. 2007;51:795–801. - PubMed
Publication types
MeSH terms
LinkOut - more resources
Full Text Sources
Other Literature Sources
Medical