Ileal strangulation by a secondary perineal hernia after laparoscopic abdominoperineal rectal resection: A case report
- PMID: 28292663
- PMCID: PMC5348604
- DOI: 10.1016/j.ijscr.2017.02.005
Ileal strangulation by a secondary perineal hernia after laparoscopic abdominoperineal rectal resection: A case report
Abstract
Introduciton: We report a recent case of strangulated bowel obstruction due to an incarcerated secondary perineal hernia that developed after laparoscopic rectal resection.
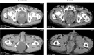
Presentation of case: A 75-year-old man undergoing treatment for alcoholic cirrhosis underwent laparoscopic abdominoperineal resection of the rectum (APR) for lower rectal cancer after preoperative chemoradiotherapy. Lung metastases were diagnosed 2 months postoperatively. Ten days after chemotherapy initiation, the patient was hospitalized on an emergency basis due to hepatic encephalopathy. Ten days thereafter, we observed perineal skin protrusion. Moreover, the skin disintegrated spontaneously, resulting in ascetic fluid outflow. Pain and fever developed, with inflammatory reactions. Contrast-enhanced computed tomography showed strangulated small bowel obstruction due to perineal hernia. We performed an emergency surgery, during which we found small intestine wall incarcerated in the pelvic dead space, with thickening and edema; no necrosis or perforation was observed. We performed internal fixation by introducing an ileus tube into the ileocecum and fixing its balloon at the cecal terminus.
Discussion: Secondary perineal hernia is rare and can develop after APR. Its prevalence is likely to increase in future because of the increasing ubiquity of laparoscopic APR, in which no repair of peritoneal stretching to the pelvic floor is performed. However, only two case of secondary perineal hernia causing strangulated bowel obstruction has been reported in the literature. The follow-up evaluation of our procedures and future accumulation of cases will be important in raising awareness of this clinical entity.
Conclusion: We suggest that the pelvic floor and the peritoneum should be repaired.
Keywords: Abdominoperineal resection; Alcoholic cirrhosis; Internal fixation; Laparoscopic surgery; Perineal hernia; Rectal cancer; Strangulated bowel obstruction.
Copyright © 2017 The Authors. Published by Elsevier Ltd.. All rights reserved.
Figures
References
-
- Cali R.L., Pitsch R.M., Blatchford G.J., Thorson A., Christensen M.A. Rare pelvic floor hernias: report of a case and review of the literature. Dis. Colon Rectum. 1992;35:04–12. - PubMed
-
- Agha R.A., Fowler A.J., Saetta A., Barai I., Rajmohan S., Orgill D.P. and the SCARE group. The SCARE statement: consensus-based surgical case report guidelines. Int. J. Surg. 2016;34:180–186. - PubMed
-
- Yeomans F.C. Levator hernia, perineal and pudendal. Am. J. Surg. 1939;43:695–697.
-
- Veenhof A.A., van der Peet D.L., Cuesta M.A. Perineal hernia after laparoscopic abdominoperineal resection for rectal cancer: report of two cases. Dis. Colon Rectum. 2007;50:1271–1274. - PubMed
LinkOut - more resources
Full Text Sources
Other Literature Sources
Research Materials
Miscellaneous
