Lucio's phenomenon: exuberant case report and review of Brazilian cases
- PMID: 28300896
- PMCID: PMC5324995
- DOI: 10.1590/abd1806-4841.20164370
Lucio's phenomenon: exuberant case report and review of Brazilian cases
Abstract
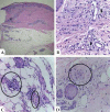
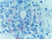
Lucio's phenomenon is an uncommon reaction characterized by severe necrotizing cutaneous lesions that occurs in patients with Lucio's leprosy and lepromatous leprosy. It is considered by some authors as a variant of type 2 or 3 reaction. Death can occur because of blood dyscrasia or sepsis. Precipitating factors include infections, drugs and pregnancy. We report a 31-year-old female patient exhibiting both clinical and histopathological features of lepromatous leprosy and Lucio's phenomenon presenting favorable response to treatment. We complement our report with a literature review of the Brazilian cases of Lucio's phenomenon published in Portuguese and English.
Conflict of interest statement
Conflict of Interest: None
Figures
 
              
              
              
              
                
                
                 
              
              
              
              
                
                
                 
              
              
              
              
                
                
                 
              
              
              
              
                
                
                 
              
              
              
              
                
                
                References
- 
    - WHO Global leprosy situation Wekly Epidemiol. Rec. 2013;88:365–380.
 
- 
    - Costa IM, Kawano LB, Pereira CP, Nogueira LS. Lucio's phenomenon: a case report and review of the literature. Int J Dermatol. 2005;44:566–571. - PubMed
 
- 
    - Nunzie E, Ortega Cabrera LV, Macanchi Moncayo FM, Ortega Espinosa PF, Clapasson A, Massone C. Lucio Leprosy with Lucio's phenomenon, digital gangrene and anticardiolipin antibodies. Lepr Rev. 2014;85:194–200. - PubMed
 
Publication types
MeSH terms
LinkOut - more resources
- Full Text Sources
- Other Literature Sources
