Porokeratosis ptychotropica
- PMID: 28300921
- PMCID: PMC5325020
- DOI: 10.1590/abd1806-4841.20164399
Porokeratosis ptychotropica
Abstract
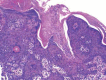
Porokeratosis is a skin disorder clinically characterized by annular plaques with keratotic borders resembling the Great Wall of China and histopathologically by cornoid lamellae. The disease has several clinical variants. Porokeratosis ptychotropica, which has recently become part of these variants, is quite rare and little known. The entity is characterized by verrucous plaques - which may resemble a psoriasis plaque - that affect the regions of the buttocks, most commonly the gluteal cleft, with or without extremity involvement. Itching is often present. We report a rare case of porokeratosis ptychotropica and highlight its unusual manifestation (single plaque), the first case reported in the Brazilian literature.
Conflict of interest statement
Conflict of Interest: None
Figures



References
-
- Scheiba N, Enk A, Proske S, Hartschuh W. Porokeratosis Ptychotropica: Successful Treatment with the Dermatome. Dermatol Surg. 2010;36:257–260. - PubMed
-
- Takiguchi RH, White KP, White CR, Jr, Simpson EL. Verrucous porokeratosis of the gluteal cleft (porokeratosis ptychotropica): A rare disorder easily misdiagnosed. J Cutan Pathol. 2010;37:802–807. - PubMed
-
- Wallner J, Fitzpatrick J, Brice S. Verrucous porokeratosis of Mibelli on the buttocks mimicking psoriasis. Cutis. 2003;72:391–393. - PubMed
-
- Tallon B, Blumental G, Bhawan J. Porokeratosis ptychotropica: a lesser-known variant. Clin Exp Dermatol. 2009;34:e895–e897. - PubMed
-
- McGuigan K, Shurman D, Campanelli C, Lee JB. Porokeratosis ptychotropica: A clinically distinct variant of porokeratosis. J Am Acad Dermatol. 2009;60:501–503. - PubMed
Publication types
MeSH terms
LinkOut - more resources
Full Text Sources
Other Literature Sources