A novel biomarker associated with distress in humans: calcium-binding protein, spermatid-specific 1 (CABS1)
- PMID: 28381457
- PMCID: PMC5495925
- DOI: 10.1152/ajpregu.00393.2016
A novel biomarker associated with distress in humans: calcium-binding protein, spermatid-specific 1 (CABS1)
Abstract
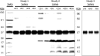
Calcium-binding protein spermatid-specific 1 (CABS1) is expressed in the human submandibular gland and has an anti-inflammatory motif similar to that in submandibular rat 1 in rats. Here, we investigate CABS1 in human saliva and its association with psychological and physiological distress and inflammation in humans. Volunteers participated across three studies: 1) weekly baseline measures; 2) a psychosocial speech and mental arithmetic stressor under evaluative threat; and 3) during academic exam stress. Salivary samples were analyzed for CABS1 and cortisol. Additional measures included questionnaires of perceived stress and negative affect; exhaled nitric oxide; respiration and cardiac activity; lung function; and salivary and nasal inflammatory markers. We identified a CABS1 immunoreactive band at 27 kDa in all participants and additional molecular mass forms in some participants. One week temporal stability of the 27-kDa band was satisfactory (test-retest reliability estimate = 0.62-0.86). Acute stress increased intensity of 18, 27, and 55 kDa bands; 27-kDa increases were associated with more negative affect and lower heart rate, sympathetic activity, respiration rate, and minute ventilation. In both acute and academic stress, changes in 27 kDa were positively associated with salivary cortisol. The 27-kDa band was also positively associated with VEGF and salivary leukotriene B4 levels. Participants with low molecular weight CABS1 bands showed reduced habitual stress and negative affect in response to acute stress. CABS1 is readily detected in human saliva and is associated with psychological and physiological indicators of stress. The role of CABS1 in inflammatory processes, stress, and stress resilience requires careful study.
Keywords: acute and chronic stress; anti-inflammatory activity; calcium-binding protein spermatid-specific 1; cortisol; negative affect; saliva; submandibular rat 1.
Copyright © 2017 the American Physiological Society.
Figures






References
-
- American Thoracic Society; European Respiratory Society . ATS/ERS recommendations for standardized procedures for the online and offline measurement of exhaled lower respiratory nitric oxide and nasal nitric oxide, 2005. Am J Respir Crit Care Med 171: 912–930, 2005. doi:10.1164/rccm.200406-710ST. - DOI - PubMed
-
- Bernardi L, Wdowczyk-Szulc J, Valenti C, Castoldi S, Passino C, Spadacini G, Sleight P. Effects of controlled breathing, mental activity and mental stress with or without verbalization on heart rate variability. J Am Coll Cardiol 35: 1462–1469, 2000. doi:10.1016/S0735-1097(00)00595-7. - DOI - PubMed
MeSH terms
Substances
LinkOut - more resources
Full Text Sources
Other Literature Sources
Medical
Molecular Biology Databases