Musculoskeletal Tuberculosis
- PMID: 28409551
- PMCID: PMC11687488
- DOI: 10.1128/microbiolspec.TNMI7-0046-2017
Musculoskeletal Tuberculosis
Abstract
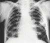
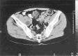
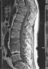
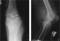
Musculoskeletal tuberculosis (TB) accounts for approximately 10% of all extrapulmonary TB cases in the United States and is the third most common site of extrapulmonary TB after pleural and lymphatic disease. Vertebral involvement (tuberculous spondylitis, or Pott's disease) is the most common type of skeletal TB, accounting for about half of all cases of musculoskeletal TB. The presentation of musculoskeletal TB may be insidious over a long period and the diagnosis may be elusive and delayed, as TB may not be the initial consideration in the differential diagnosis. Concomitant pulmonary involvement may not be present, thus confusing the diagnosis even further. Early diagnosis of bone and joint disease is important to minimize the risk of deformity and enhance outcome. The introduction of newer imaging modalities, including MRI (imaging procedure of choice) and CT, has enhanced the diagnostic evaluation of patients with musculoskeletal TB and for directed biopsies of affected areas of the musculoskeletal system. Obtaining appropriate specimens for culture and other diagnostic tests is essential to establish a definitive diagnosis and recover M. tuberculosis for susceptibility testing. A total of 6 to 9 months of a rifampin-based regimen, like treatment of pulmonary TB, is recommended for the treatment of drug susceptible musculoskeletal disease. Randomized trials of tuberculous spondylitis have demonstrated that such regimens are efficacious. These data and those from the treatment of pulmonary TB have been extrapolated to form the basis of treatment regimen recommendations for other forms of musculoskeletal TB.
Figures











References
Publication types
MeSH terms
Substances
LinkOut - more resources
Full Text Sources
Other Literature Sources
Medical