Frontotemporal dementia as a comorbidity to idiopathic normal pressure hydrocephalus (iNPH): a short review of literature and an unusual case
- PMID: 28420385
- PMCID: PMC5395836
- DOI: 10.1186/s12987-017-0060-7
Frontotemporal dementia as a comorbidity to idiopathic normal pressure hydrocephalus (iNPH): a short review of literature and an unusual case
Abstract
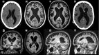
Behavioural variant frontotemporal dementia (bvFTD) and idiopathic normal pressure hydrocephalus (iNPH) are neurodegenerative diseases that can present with similar symptoms. These include decline in executive functions, psychomotor slowness, and behavioural and personality changes. Ventricular enlargement is a key radiological finding in iNPH that may also be present in bvFTD caused by the C9ORF72 expansion mutation. Due to this, bvFTD has been hypothesized as a potential comorbidity to iNPH but bvFTD patients have never been identified in studies focusing in clinical comorbidities with iNPH. Here we describe a patient with the C9ORF72 expansion-associated bvFTD who also showed enlarged ventricles on brain imaging. The main clinical symptoms were severe gait disturbances and psychiatric problems with mild cognitive decline. Cerebrospinal fluid removal increased the patient's walking speed, so a ventriculoperitoneal shunt was placed. After insertion of the shunt, there was a significant improvement in walking speed as well as mild improvement in cognitive function but not in neuropsychiatric symptoms relating to bvFTD. Comorbid iNPH should be considered in bvFTD patients who have enlarged ventricles and severely impaired gait.
Keywords: C9ORF72 repeat expansion; CSF shunt; Dementia; Idiopathic normal pressure hydrocephalus; Neurodegeneration.
Figures


References
-
- Malm J, Graff-Radford NR, Ishikawa M, Kristensen B, Leinonen V, Mori E, et al. Influence of comorbidities in idiopathic normal pressure hydrocephalus—research and clinical care. A report of the ISHCSF task force on comorbidities in INPH. Fluids Barriers CNS. 2013;10:22. doi: 10.1186/2045-8118-10-22. - DOI - PMC - PubMed
Publication types
MeSH terms
Substances
LinkOut - more resources
Full Text Sources
Other Literature Sources