Identification of protein clusters predictive of tumor response in rectal cancer patients receiving neoadjuvant chemo-radiotherapy
- PMID: 28423701
- PMCID: PMC5438653
- DOI: 10.18632/oncotarget.16053
Identification of protein clusters predictive of tumor response in rectal cancer patients receiving neoadjuvant chemo-radiotherapy
Abstract
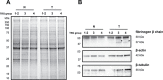
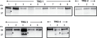
Preoperative neoadjuvant chemoradiotherapy (nCRT) is the gold standard in locally advanced rectal cancer, only 10-30% of patients achieving benefits. Currently, there is a need of a reliable selection of markers for the identification of poor or non-responders prior to therapy. In this work, we compared protein profiles before therapy of patients differing in their responses to nCRT to find novel predictive markers of response to therapy. Patients were grouped into 3 groups according to their tumor regression grading (TRG) after surgery: 'TRG 1-2', good responders, 'TRG 3' and 'TRG 4', poor responders. Paired surgical specimens of rectal cancer and healthy (histologically confirmed) rectal tissues from 15 patients were analysed before nCRT by two dimensional difference in gel electrophoresis followed by mass spectrometry. Thirty spots were found as differentially expressed (p < 0.05). Among them, 3 spots (spots 471, 683 and 684) showed an increased amount of protein in poor responders compared with good responders, and they were more tumor associated compared with healthy tissues. Proteins of these spots were identified as fibrinogen ß chain fragment D, actin isoforms, B9 and B5 serpins, cathepsin D isoforms and peroxiredoxin-4. In an independent validation set of 20 rectal carcinomas we validated the increased fibrinogen ß chain abundance before nCRT in poor responders by immunoblotting. In conclusion, we propose a risk-stratification tool in predicting the response to nCRT treatment in rectal cancer based on the quantity of these proteins.
Keywords: DIGE; gastric diseases; rectal cancer; rectal proteomics; tumor regression grade.
Conflict of interest statement
The authors declare that they have no competing interests as defined by Oncotarget or other interests that might be perceived to influence the results and discussion reported in this paper.
Figures






References
-
- Maas M, Nelemans PJ, Valentini V, Das P, Rödel C, Kuo LJ, Calvo FA, García-Aguilar J, Glynne-Jones R, Haustermans K, Mohiuddin M, Pucciarelli S, Small W, Jr, et al. Long-term outcome in patients with a pathological complete response after chemoradiation for rectal cancer: a pooled analysis of individual patient data. Lancet Oncol. 2010;11:835–844. - PubMed
MeSH terms
Substances
LinkOut - more resources
Full Text Sources
Other Literature Sources
Research Materials