Therapeutic Effect of Low Doses of Acenocoumarol in the Course of Ischemia/Reperfusion-Induced Acute Pancreatitis in Rats
- PMID: 28430136
- PMCID: PMC5412463
- DOI: 10.3390/ijms18040882
Therapeutic Effect of Low Doses of Acenocoumarol in the Course of Ischemia/Reperfusion-Induced Acute Pancreatitis in Rats
Erratum in
-
Correction: Warzecha, Z., et al. Therapeutic Effect of Low Doses of Acenocoumarol in the Course of Ischemia/Reperfusion-Induced Acute Pancreatitis in Rats. Int. J. Mol. Sci. 2017, 18, 882.Int J Mol Sci. 2019 Jun 24;20(12):3086. doi: 10.3390/ijms20123086. Int J Mol Sci. 2019. PMID: 31238574 Free PMC article.
Abstract
Intravascular activation of coagulation is observed in acute pancreatitis and is related to the severity of this inflammation. The aim of our study was to evaluate the impact of acenocoumarol therapy on the course of acute pancreatitis induced in male rats by pancreatic ischemia followed by reperfusion. Acenocoumarol at a dose of 50, 100, or 150 µg/kg/dose was administered intragastrically once a day, starting the first dose 24 h after the initiation of pancreatic reperfusion.
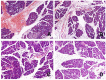
Results: Histological examination showed that treatment with acenocoumarol reduces pancreatic edema, necrosis, and hemorrhages in rats with pancreatitis. Moreover, the administration of acenocoumarol decreased pancreatic inflammatory infiltration and vacuolization of pancreatic acinar cells. These findings were accompanied with a reduction in the serum activity of lipase and amylase, concentration of interleukin-1β, and plasma d-Dimer concentration. Moreover, the administration of acenocoumarol improved pancreatic blood flow and pancreatic DNA synthesis. Acenocoumarol given at a dose of 150 µg/kg/dose was the most effective in the treatment of early phase acute pancreatitis. However later, acenocoumarol given at the highest dose failed to exhibit any therapeutic effect; whereas lower doses of acenocoumarol were still effective in the treatment of acute pancreatitis.
Conclusion: Treatment with acenocoumarol accelerates the recovery of ischemia/reperfusion-induced acute pancreatitis in rats.
Keywords: ">d-dimer; acenocoumarol; acute pancreatitis; amylase; interleukin-1β; lipase; pancreatic blood flow.
Conflict of interest statement
The authors declare no conflict of interest.
Figures
References
-
- Levi M., van der Poll T., Schultz M. New insights into pathways that determine the link between infection and thrombosis. Neth. J. Med. 2012;70:114–120. - PubMed
MeSH terms
Substances
LinkOut - more resources
Full Text Sources
Other Literature Sources
Medical
